Dr. Che Dinh Nghia, Deputy Head of the Orthopedic Trauma Department at Tam Anh General Hospital Hanoi, highlighted the vicious cycle between knee osteoarthritis and diabetes in elderly patients. Diabetes elevates blood sugar and chronic inflammation, damaging microvessels that nourish joint cartilage, thus accelerating joint degeneration. Conversely, rapidly degenerating knee joints cause pain, reduce mobility, increase insulin resistance, and worsen diabetes.
Ms. Tich had bilateral knee osteoarthritis 20 years ago. In the recent two years, her diabetes caused her right knee osteoarthritis to rapidly progress from grade 3 to 4, and her left knee osteoarthritis from grade 2 to 3, rendering conservative treatment ineffective. Previously, she exercised and walked regularly to manage her blood sugar, but recently, even moving around her house became difficult. Standing, sitting, and lifting her leg caused severe pain, and her diabetes progressed.
Dr. Nghia recommended right knee replacement for Ms. Tich to restore mobility, facilitate easier diabetes management, and alleviate the degeneration in her left knee.
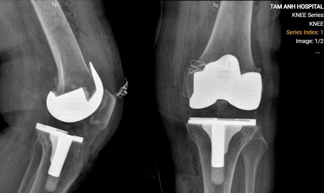
![]() |
Ms. Tich's artificial knee joint. *Photo: Tam Anh General Hospital* |
Before surgery, Ms. Tich underwent a comprehensive multi-specialty examination, including musculoskeletal, respiratory, cardiology, endocrinology-diabetes, and anesthesiology and resuscitation. This assessment evaluated her underlying conditions and confirmed her eligibility for artificial joint replacement.
Doctors performed a CT scan and created a 3D reconstruction of her knee. This allowed for precise measurements to select the appropriate joint type, determine optimal placement and orientation, and balance ligament tension. During the operation, Ms. Tich received spinal anesthesia combined with mild sedation for comfort, avoiding the complications of general anesthesia. Dr. Nghia incised to expose the knee joint, resected bone, and implanted the artificial joint. The surgery was completed in just over one hour.
Post-surgery, Ms. Tich received multimodal pain management. She began physical therapy after one day and could stand and walk with assistance. On the third day after the operation, she walked independently, discontinued pain medication, and was free from the sharp, throbbing pain caused by osteoarthritis. She was discharged the following day.
![]() |
Dr. Nghia visits Ms. Tich before discharge. *Photo: Tam Anh General Hospital* |
Vietnam currently has about 7 million people with diabetes, representing about 7% of the population. The disease leads to numerous complications, including: fibrosis, tendon contracture, osteoarthritis, osteoporosis, pathological fractures, and a reduced quality of life.
Dr. Nghia noted that artificial knee replacement surgery was previously considered a major procedure, requiring long hospital stays, especially for elderly patients with multiple comorbidities. Diabetic patients with high HbA1c levels were often deemed unsuitable for surgery due to elevated risks of intraoperative complications and postoperative infections. However, comprehensive multi-specialty coordination, from respiratory and cardiology to endocrinology, now enables thorough assessment and prevention for diabetic patients, making artificial knee replacement safe.
Dr. Nghia advises diabetic patients to monitor their blood sugar daily, adhere to treatment plans, and undergo regular check-ups to promptly detect complications such as osteoarthritis. Patients should consider early surgery when indicated and eligible for joint replacement.
Thanh Long

