Despite previous rehabilitation, Anh Hieu's herniated disc frequently relapsed. This caused numbness in his right leg and pain radiating to his buttocks and thighs, which worsened with prolonged standing.
Dr. Le Van Khanh, a specialist at Tam Anh General Hospital Hanoi's Center for Diagnostic Imaging and Interventional Radiology, diagnosed Anh Hieu with lumbar spine and disc degeneration. The diagnosis revealed herniated discs at L4/5 and L5/S1, causing compression of the L5 and S1 nerve roots on the right side, which led to his persistent pain.
To alleviate the compression, doctors recommended radiofrequency ablation (RFA). This procedure uses heat to shrink the herniated nucleus pulposus, reducing pressure on the nerves and spinal cord while preserving the disc's main structure. With computed tomography guidance, the physician accurately positions the ablation needle into the disc's center to target the herniated portion of the nucleus pulposus.
![]() |
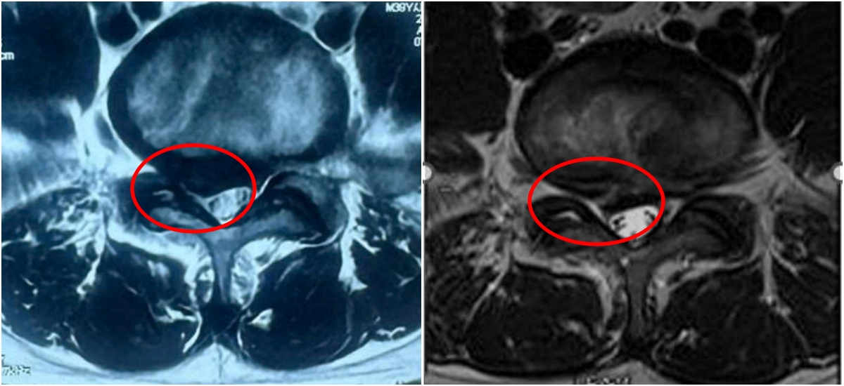
The herniated mass (right) shrinks after radiofrequency ablation compared to before the intervention (left). *Photo: Tam Anh General Hospital*
Following the RFA, Anh Hieu experienced significant pain reduction within the first month. By the second and third months, his pain had nearly disappeared, enabling him to resume normal walking. A follow-up examination three months after the procedure confirmed that the herniated mass had partially retracted, showing no distinct signs of nerve root compression.
Dr. Khanh highlighted the advantages of radiofrequency ablation (RFA) over traditional treatments. RFA is minimally invasive, creating a needle mark of only about 1 cm on the skin, and carries fewer complications. Patients recover quickly, often discharged the same day, and experience immediate pain relief after the intervention.
Radiofrequency ablation is applicable for various conditions, particularly mild to moderate herniated discs. It is suitable when the herniated mass has not migrated, the annulus fibrosus is intact, and conservative treatments such as medication or physical therapy have failed. RFA is also an option for patients who prefer to avoid surgery or are not suitable candidates. However, severe cases still necessitate surgical intervention.
![]() |
Dr. Khanh performs radiofrequency ablation for a patient. *Photo: Tam Anh General Hospital*
Dr. Khanh offers advice for individuals with herniated discs: maintain a healthy weight, avoid obesity, and exercise regularly. He emphasizes proper posture during work and avoiding sudden bending or incorrect lifting to prevent complications. Additionally, patients should consume a balanced diet rich in calcium, vitamin D, protein, and omega-3, while limiting sugary, salty, and fried foods, as well as tobacco and alcohol. Should symptoms such as lower back pain, limb numbness, or decreased mobility arise, seeking medical evaluation at a hospital is crucial for accurate diagnosis and suitable treatment.
Thuan Le
*Patient's name has been changed

