Eng English
China 中国人

Eng English
China 中国人
  • News
  • World
  • Business
  • Entertainment
  • Sports
  • Law
  • Education
  • Health
  • Lifestyle
  • Travel
  • Science
  • Digital
  • Automobiles
  • Trở lại Thể thao
  • Health
Wednesday, 8/10/2025 | 13:02 GMT+7

From Australia to Vietnam for laryngeal cancer treatment

Mr. Binh, 70 years old, experienced hoarseness for more than ba months. After doctors in Australia diagnosed a suspected malignant vocal cord tumor, he returned to Vietnam for endoscopic laser surgery to remove the tumor.

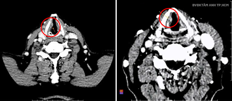
An ear, nose, and throat endoscopy at Tam Anh General Hospital in Ho Chi Minh City revealed swelling in Mr. Binh's hai vocal cords, a growth on the right vocal cord, and arytenoid cartilage hyperemia. CT results confirmed a lesion in the larynx, at the level of the right vocal cord, described as a growth measuring about 7x14x6 mm. A biopsy confirmed invasive squamous cell carcinoma, grade hai, stage T2.

Professor, Doctor Tran Phan Chung Thuy, Director of the Ear, Nose, and Throat Center, stated that Mr. Binh had laryngeal cancer, with the lesion originating from the squamous cell layer in the laryngeal region. The tumor showed grade hai invasion into surrounding tissue in terms of differentiation, indicating a medium malignancy. It restricted vocal cord movement and invaded the paraglottic region but had not metastasized distantly.

CT scan showing the tumor on the right vocal cord. Photo: Tam Anh General Hospital

Professor Chung Thuy prescribed transoral endoscopic laser surgery to remove the laryngeal tumor. This method uses a CO2 laser (wavelength 10,600 nm) with a high-energy light beam precisely directed at the cancerous tissue. It thoroughly removes the tumor while preserving healthy surrounding tissue, maintaining laryngeal function, and limiting the spread of cancer cells. This technique is applicable only for early-stage laryngeal cancer when the tumor is small, localized, and has not deeply invaded surrounding tissues. The cure rate is comparable to radiation therapy.

Professor Chung Thuy (far left) performs endoscopic CO2 laser tumor removal surgery on Mr. Binh. Photo: Tam Anh General Hospital

After surgery, Mr. Binh received a nasogastric tube to deliver liquid food directly to his stomach, avoiding oral swallowing and reducing infection risk in the early postoperative period. Doctors designed a personalized diet to ensure the patient received adequate nutrition.

Post-surgery, Mr. Binh's health stabilized, and he was discharged after 4 days. At his follow-up appointment 14 days later, he had recovered well, requiring neither chemotherapy nor radiation therapy. His swallowing, speech, and respiratory functions were fully preserved, he ate normally, and gradually regained his voice. Mr. Binh returned to Australia but continued to visit Vietnam for follow-up appointments after mot month and hai months.

According to Professor Chung Thuy, transoral CO2 laser microsurgery has few complications, leading to faster patient recovery, earlier discharge, and reduced costs.

Laryngeal cancer is the second most common upper respiratory tract cancer, often affecting patients 60-70 years old, with a 5-year survival rate of about 64%, according to the U.S. National Library of Medicine. Early detection and timely treatment of laryngeal cancer improve patient prognosis. In advanced stages, patients may require partial or total vocal cord removal.

The primary cause of laryngeal cancer is smoking. Alcohol abuse and frequent exposure to chemicals like asbestos or coal dust increase the risk of laryngeal cancer. Hoarseness is an early and primary symptom. Patients may also experience a dry cough, phlegm, throat discomfort, a sensation of a foreign object in the throat, and laryngeal dyspnea with swallowing difficulties.

When experiencing unusual symptoms, such as hoarseness lasting more than hai weeks, persistent cough, or painful swallowing, patients should visit specialized ear, nose, and throat medical facilities for examination, endoscopy, and necessary tests. Preventing laryngeal cancer involves quitting smoking, limiting alcohol, using safety equipment when regularly exposed to toxic substances in the workplace, and maintaining healthy eating and sleeping habits.

Uyen Trinh

Readers can send questions about ear, nose, and throat conditions here for doctors to answer
By VnExpress: https://vnexpress.net/tu-australia-ve-viet-nam-chua-ung-thu-thanh-quan-4948587.html
Tags: Ho Chi Minh City ear nose and throat disease laryngeal cancer voice loss

News in the same category

Man drives 200 km to TP HCM despite heart attack

Man drives 200 km to TP HCM despite heart attack

During a trip to Phan Thiet, Hai, 37, experienced sudden chest pain and shortness of breath, symptoms similar to a previous heart attack, yet he still drove back to TP HCM before seeking hospital admission.

Early hair loss: a growing concern for young people

Early hair loss: a growing concern for young people

Hair loss not only impacts appearance but also takes a psychological toll, causing many, especially young people, to lose confidence and avoid social interaction.

The hidden enemy after a stroke

The hidden enemy after a stroke

Adjustment disorder is a psychological reaction appearing within the first three months after a stroke, which can lead to chronic depression or anxiety if not detected in time.

Why are young people getting cataracts?

Why are young people getting cataracts?

Cataracts can develop early, before the age of 60, due to extensive exposure to blue light from phones and computers, or prolonged use of corticosteroid medications.

Elderly individuals with RSV are prone to respiratory failure

Elderly individuals with RSV are prone to respiratory failure

Elderly individuals, with weakened immune systems and multiple underlying conditions, when infected with RSV virus, develop fever, cough, shortness of breath, and quickly progress to respiratory failure.

Early detection of thyroid cancer

Early detection of thyroid cancer

Mr. Hoang, 56, experienced a small lump in his neck and difficulty swallowing; this time, during a medical examination, doctors detected early-stage thyroid cancer.

Efforts to lose weight after childbirth

Efforts to lose weight after childbirth

Gaining 25 kg during pregnancy, Ms. Linh, 28, tried fasting, exercising, drinking weight loss tea, and injections after childbirth, but her weight continued to increase.

Sore throat, transient fever can be the onset of kidney disease in young people

Sore throat, transient fever can be the onset of kidney disease in young people

Many young people suffer from kidney failure due to IgA nephropathy, a disease that silently develops after episodes of sore throat or fever but can be detected early through a regular urine test costing 35,000 VND.

How to reduce sinusitis without medication

How to reduce sinusitis without medication

Nasal irrigation with saline, facial steaming with essential oils in hot water, vitamin C supplementation, and drinking warm water can alleviate sinusitis symptoms.

Stirring up a wasp nest, boy stung 35 times nearly died

Stirring up a wasp nest, boy stung 35 times nearly died

A 4-year-old boy in Gia Lai was stung 35 times by wasps, fortunately escaping critical danger after more than three weeks of dialysis and plasma exchange, while a friend in his group did not survive.

Eng English
China 中国人
  • News
  • World
  • Business
  • Entertainment
  • Sports
  • Law
  • Education
  • Health
  • Lifestyle
  • Travel
  • Science
  • Digital
  • Automobiles
FPT Tower, 10 Pham Van Bach Street, Dich Vong Ward,
Cau Giay District, Hanoi, Vietnam
Email: contacts@vnportal.net
Tel: 028 7300 9999 - Ext 8556
Advertise with us: 090 293 9644
Register
© Copyright 2025 vnnow.net. All rights reserved.
Terms of use Privacy policy Cookies