Eng English
China 中国人

Eng English
China 中国人
  • News
  • World
  • Business
  • Entertainment
  • Sports
  • Law
  • Education
  • Health
  • Lifestyle
  • Travel
  • Science
  • Digital
  • Automobiles
  • Trở lại Thể thao
  • Health
Wednesday, 24/9/2025 | 08:33 GMT+7

Lung cancer successfully removed

63-year-old Lan, suffering from a persistent cough, underwent surgery for lung adenocarcinoma.

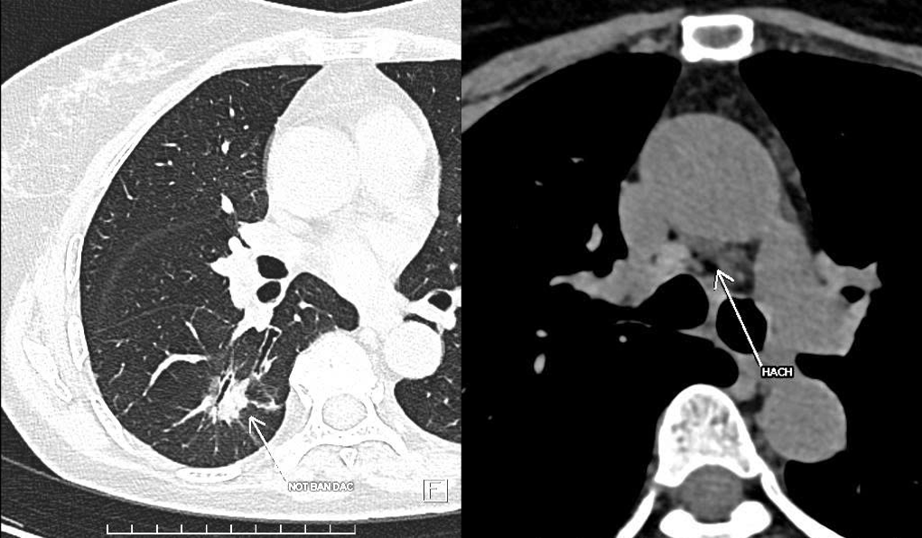
Three months prior, Lan was diagnosed with stage 3A lung cancer with lymph node metastasis at a local hospital and advised to undergo long-term systemic chemotherapy. Seeking a second opinion at Tam Anh General Hospital in Hanoi, a CT scan revealed a small, nearly 2 cm tumor in her right lower lung lobe. The mediastinal and subcarinal lymph nodes (where the right and left bronchi divide) appeared flat, with regular borders, and retained their normal structure.

Dr. Vu Huu Khiem, Head of the Oncology Department, explained that the lymph nodes hadn't been infiltrated because the images showed regular borders, suggesting a high probability of early-stage, 1A lung cancer. Lan was scheduled for minimally invasive surgery to remove the lower lobe of her right lung, along with mediastinal lymph node dissection.

The lung tumor and lymph nodes on Lan's CT scan. Photo: *Tam Anh General Hospital*

The surgical team removed the lower right lung lobe containing the solid tumor and dissected 11 surrounding lymph nodes, sending them to the Anatomic Pathology and Cell Biology Center. Results confirmed early-stage lung adenocarcinoma, with 11 out of 11 lymph nodes showing inflammation, not metastasis.

Lan recovered well after surgery, with her cough, chest tightness, and shortness of breath resolved. After six days of monitoring and positive respiratory function assessment, she was discharged. A follow-up appointment two months later showed good lung expansion and respiratory recovery, requiring no further treatment. Another follow-up was scheduled for three months later.

Lung adenocarcinoma is the most common type of primary lung cancer, belonging to the non-small cell lung cancer (NSCLC) group. Dr. Khiem noted that early detection and surgical intervention can lead to complete remission, with a potential cure rate of up to 90%. Conversely, late-stage diagnosis with distant metastasis presents greater treatment challenges.

Doctors prepare lymph node samples for biopsy. Photo: *Tam Anh General Hospital*

Globocan 2022 reported over 24,400 new lung cancer cases and nearly 22,600 deaths in Vietnam. Lung cancer symptoms include coughing, coughing up blood, shortness of breath, wheezing, chest pain, and hoarseness.

Dr. Khiem recommends that individuals experiencing these symptoms seek medical attention for examination, testing, and diagnostic imaging. Those over 50 with risk factors such as smoking, secondhand smoke exposure, exposure to silica, asbestos, radon, heavy metals, or a family history of lung cancer should undergo regular low-dose CT lung screenings for early detection of lung abnormalities. Current CT scanners with unlimited slices offer increased accuracy in screening, while using low radiation doses equivalent to a standard chest X-ray, making it safe for high-risk individuals. Adopting a healthy lifestyle, avoiding smoking, limiting alcohol consumption, ensuring occupational safety, and maintaining a clean living environment contribute to lung cancer prevention.

Thanh Long

Readers can submit questions about cancer here for doctors to answer.
By VnExpress: https://vnexpress.net/cat-phoi-triet-can-ung-thu-4942658.html
Tags: lung tumor cancer complete remission lung cancer Hanoi

News in the same category

Man drives 200 km to TP HCM despite heart attack

Man drives 200 km to TP HCM despite heart attack

During a trip to Phan Thiet, Hai, 37, experienced sudden chest pain and shortness of breath, symptoms similar to a previous heart attack, yet he still drove back to TP HCM before seeking hospital admission.

Early hair loss: a growing concern for young people

Early hair loss: a growing concern for young people

Hair loss not only impacts appearance but also takes a psychological toll, causing many, especially young people, to lose confidence and avoid social interaction.

The hidden enemy after a stroke

The hidden enemy after a stroke

Adjustment disorder is a psychological reaction appearing within the first three months after a stroke, which can lead to chronic depression or anxiety if not detected in time.

Why are young people getting cataracts?

Why are young people getting cataracts?

Cataracts can develop early, before the age of 60, due to extensive exposure to blue light from phones and computers, or prolonged use of corticosteroid medications.

Elderly individuals with RSV are prone to respiratory failure

Elderly individuals with RSV are prone to respiratory failure

Elderly individuals, with weakened immune systems and multiple underlying conditions, when infected with RSV virus, develop fever, cough, shortness of breath, and quickly progress to respiratory failure.

Early detection of thyroid cancer

Early detection of thyroid cancer

Mr. Hoang, 56, experienced a small lump in his neck and difficulty swallowing; this time, during a medical examination, doctors detected early-stage thyroid cancer.

Efforts to lose weight after childbirth

Efforts to lose weight after childbirth

Gaining 25 kg during pregnancy, Ms. Linh, 28, tried fasting, exercising, drinking weight loss tea, and injections after childbirth, but her weight continued to increase.

Sore throat, transient fever can be the onset of kidney disease in young people

Sore throat, transient fever can be the onset of kidney disease in young people

Many young people suffer from kidney failure due to IgA nephropathy, a disease that silently develops after episodes of sore throat or fever but can be detected early through a regular urine test costing 35,000 VND.

How to reduce sinusitis without medication

How to reduce sinusitis without medication

Nasal irrigation with saline, facial steaming with essential oils in hot water, vitamin C supplementation, and drinking warm water can alleviate sinusitis symptoms.

Stirring up a wasp nest, boy stung 35 times nearly died

Stirring up a wasp nest, boy stung 35 times nearly died

A 4-year-old boy in Gia Lai was stung 35 times by wasps, fortunately escaping critical danger after more than three weeks of dialysis and plasma exchange, while a friend in his group did not survive.

Eng English
China 中国人
  • News
  • World
  • Business
  • Entertainment
  • Sports
  • Law
  • Education
  • Health
  • Lifestyle
  • Travel
  • Science
  • Digital
  • Automobiles
FPT Tower, 10 Pham Van Bach Street, Dich Vong Ward,
Cau Giay District, Hanoi, Vietnam
Email: contacts@vnportal.net
Tel: 028 7300 9999 - Ext 8556
Advertise with us: 090 293 9644
Register
© Copyright 2025 vnnow.net. All rights reserved.
Terms of use Privacy policy Cookies