Eng English
China 中国人

Eng English
China 中国人
  • News
  • World
  • Business
  • Entertainment
  • Sports
  • Law
  • Education
  • Health
  • Lifestyle
  • Travel
  • Science
  • Digital
  • Automobiles
  • Trở lại Thể thao
  • Health
Tuesday, 23/9/2025 | 08:01 GMT+7

Minimally invasive brain surgery saves stroke patient

Nghia, 53, suffered a severe hemorrhagic stroke and underwent minimally invasive surgery aided by AI technology, regaining mobility within days.

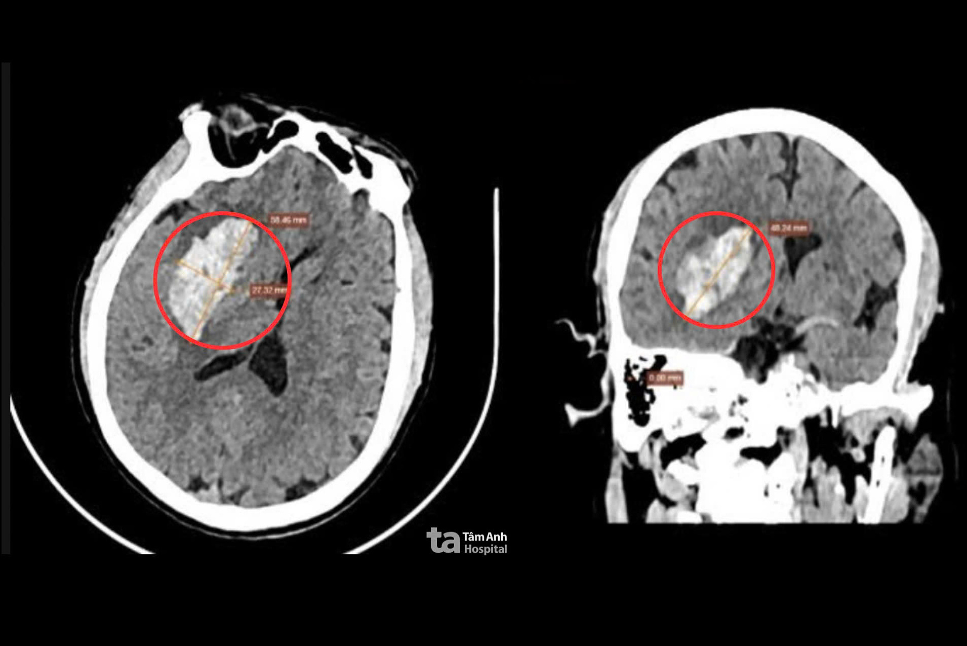
Nghia experienced a sudden, severe headache, collapsed, and developed left-sided weakness and slurred speech. His family rushed him to a local hospital. A CT scan revealed a right-hemisphere brain hemorrhage, prompting his transfer to Tam Anh General Hospital in TP HCM for intervention. Upon arrival, Nghia's blood pressure was high (153/94 mmHg), his left arm strength was 2/5, his left leg strength was 3/5, and his consciousness was declining. Imaging showed a roughly 6 cm hematoma in his right brain causing cerebral edema, compressing the right lateral ventricle, and shifting the midline 4 mm to the left.

On 23/9, Dr. Mai Hoang Vu, from the Neurosurgery Department of the Neuroscience Center, reported Nghia's critical condition. He needed urgent surgery to remove the hematoma, relieve the pressure, halt the toxic inflammatory cycle causing cerebral edema and further damage, and preserve as much healthy tissue as possible.

A CT scan revealed a large hemorrhage in Nghia's brain. Photo: Tam Anh General Hospital

A CT scan revealed a large hemorrhage in Nghia's brain. Photo: Tam Anh General Hospital

After consultation, Nghia was scheduled for minimally invasive surgery (MIS) assisted by artificial intelligence (AI). A small incision was made in his scalp, and a high-speed drill created a small, roughly 2 cm "keyhole" opening in his skull. The specialized BrainPath device was inserted deep into the brain, selectively following natural grooves. Surgeons gently separated brain tissue to create a safe corridor to the hematoma without damaging healthy tissue.

Surgeons removing Nghia's hematoma using minimally invasive techniques. Photo: Tam Anh General Hospital

Surgeons removing Nghia's hematoma using minimally invasive techniques. Photo: Tam Anh General Hospital

Using the AI-powered Zeiss Kinevo 900 microscope with 3D imaging, the surgical team precisely located the hematoma, visualized even small blood vessels, and carefully removed the clot without causing further trauma. FloSeal hemostatic material was used to minimize the risk of re-bleeding.

Post-surgery, Nghia was conscious and didn't require intensive care. His incision was clean and dry. Three days later, he showed good recovery, improved consciousness, and regained leg movement. A follow-up CT scan confirmed complete hematoma removal, with only slight ventricular compression and a normalized midline. Nghia's vital signs were closely monitored to prevent re-bleeding. After managing his underlying conditions and stroke risk factors, he was discharged and continued rehabilitation with a personalized exercise plan.

Doctors advise individuals with underlying conditions like hypertension, diabetes, and dyslipidemia to have regular checkups, adhere to treatment plans, and maintain a healthy lifestyle. If experiencing symptoms such as weakness, difficulty speaking, facial drooping, or severe headaches, seek immediate medical attention at a stroke-specialized facility.

Phuong Thy

*The patient's name has been changed.

Readers can submit questions about neurological conditions here for doctors to answer.
By VnExpress: https://vnexpress.net/phau-thuat-nao-xam-lan-toi-thieu-cuu-nguoi-dot-quy-4942296.html
Tags: TP HCM brain surgery stroke

News in the same category

Man drives 200 km to TP HCM despite heart attack

Man drives 200 km to TP HCM despite heart attack

During a trip to Phan Thiet, Hai, 37, experienced sudden chest pain and shortness of breath, symptoms similar to a previous heart attack, yet he still drove back to TP HCM before seeking hospital admission.

Early hair loss: a growing concern for young people

Early hair loss: a growing concern for young people

Hair loss not only impacts appearance but also takes a psychological toll, causing many, especially young people, to lose confidence and avoid social interaction.

The hidden enemy after a stroke

The hidden enemy after a stroke

Adjustment disorder is a psychological reaction appearing within the first three months after a stroke, which can lead to chronic depression or anxiety if not detected in time.

Why are young people getting cataracts?

Why are young people getting cataracts?

Cataracts can develop early, before the age of 60, due to extensive exposure to blue light from phones and computers, or prolonged use of corticosteroid medications.

Elderly individuals with RSV are prone to respiratory failure

Elderly individuals with RSV are prone to respiratory failure

Elderly individuals, with weakened immune systems and multiple underlying conditions, when infected with RSV virus, develop fever, cough, shortness of breath, and quickly progress to respiratory failure.

Early detection of thyroid cancer

Early detection of thyroid cancer

Mr. Hoang, 56, experienced a small lump in his neck and difficulty swallowing; this time, during a medical examination, doctors detected early-stage thyroid cancer.

Efforts to lose weight after childbirth

Efforts to lose weight after childbirth

Gaining 25 kg during pregnancy, Ms. Linh, 28, tried fasting, exercising, drinking weight loss tea, and injections after childbirth, but her weight continued to increase.

Sore throat, transient fever can be the onset of kidney disease in young people

Sore throat, transient fever can be the onset of kidney disease in young people

Many young people suffer from kidney failure due to IgA nephropathy, a disease that silently develops after episodes of sore throat or fever but can be detected early through a regular urine test costing 35,000 VND.

How to reduce sinusitis without medication

How to reduce sinusitis without medication

Nasal irrigation with saline, facial steaming with essential oils in hot water, vitamin C supplementation, and drinking warm water can alleviate sinusitis symptoms.

Stirring up a wasp nest, boy stung 35 times nearly died

Stirring up a wasp nest, boy stung 35 times nearly died

A 4-year-old boy in Gia Lai was stung 35 times by wasps, fortunately escaping critical danger after more than three weeks of dialysis and plasma exchange, while a friend in his group did not survive.

Eng English
China 中国人
  • News
  • World
  • Business
  • Entertainment
  • Sports
  • Law
  • Education
  • Health
  • Lifestyle
  • Travel
  • Science
  • Digital
  • Automobiles
FPT Tower, 10 Pham Van Bach Street, Dich Vong Ward,
Cau Giay District, Hanoi, Vietnam
Email: contacts@vnportal.net
Tel: 028 7300 9999 - Ext 8556
Advertise with us: 090 293 9644
Register
© Copyright 2025 vnnow.net. All rights reserved.
Terms of use Privacy policy Cookies