Eng English
China 中国人

Eng English
China 中国人
  • News
  • World
  • Business
  • Entertainment
  • Sports
  • Law
  • Education
  • Health
  • Lifestyle
  • Travel
  • Science
  • Digital
  • Automobiles
  • Trở lại Thể thao
  • Health
Friday, 5/9/2025 | 09:02 GMT+7

Mobile tumor found in woman's heart

64-year-old Huong suffered from fatigue upon exertion due to an 11x4 cm mobile tumor in her left atrium, posing a risk of embolism and recurrent stroke.

Huong suffered a stroke a year ago, and doctors suspected a cardiac embolism. Three months later, an echocardiogram revealed a tumor in her left atrium. Doctors recommended immediate surgery, but her family hesitated due to her incomplete recovery from the stroke. In June of this year, she sought a health checkup at Tam Anh General Hospital in TP HCM.

Doctor Pham Thuc Minh Thuy, from the Cardiology Center, reported that the echocardiogram showed an 11x4 cm tumor (suspected myxoma) in the left atrium. The tumor consisted of three connected lobes and moved across the mitral valve.

Myxomas are the most common primary heart tumors. They are usually benign and typically located in the left atrium. In Huong's case, Dr. Thuy explained that without treatment, the tumor could cause serious complications, such as mitral valve stenosis due to obstruction, embolism leading to stroke, or sudden cardiac arrest due to blocked blood flow. Doctors held a consultation and performed emergency surgery.

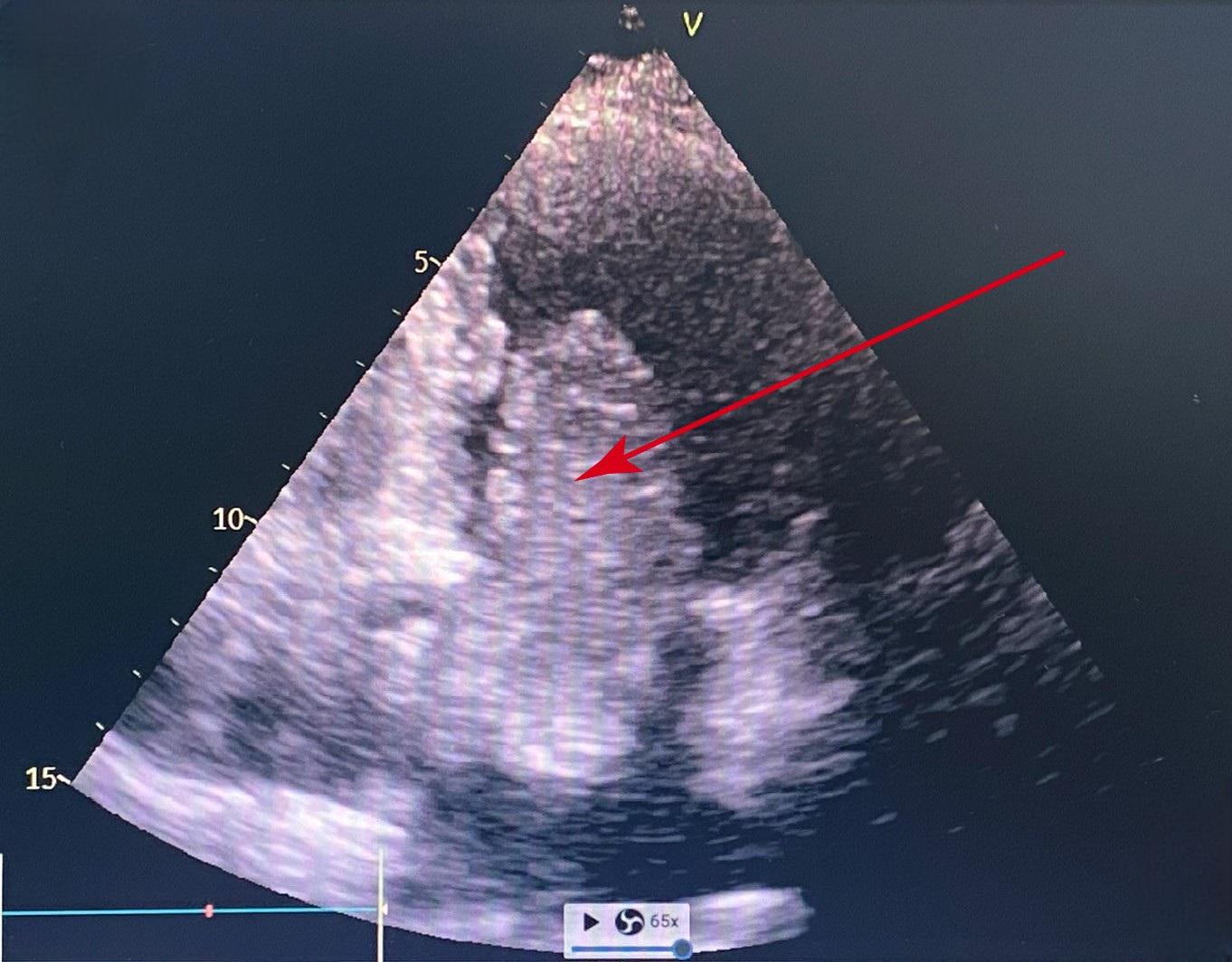
Pre-operative ultrasound shows the left atrial myxoma passing through the mitral valve to the apex of the heart. Photo: Tam Anh General Hospital

Pre-operative ultrasound shows the left atrial myxoma passing through the mitral valve to the apex of the heart. Photo: Tam Anh General Hospital

Doctor Tran Thuc Khang, Deputy Head of Cardiothoracic Surgery at the Cardiology Center, surgically removed the gelatinous tumor attached to the interatrial septum. He performed a wide excision around the base of the tumor to prevent recurrence, checked the mitral valve, and reconstructed the interatrial septum. Post-operative pathology confirmed the tumor was benign. A week after surgery, Huong had recovered, resumed normal activities, and no longer experienced fatigue. She continues to receive post-operative support and treatment.

Huong during her follow-up appointment a week later, consulting with Dr. Thuy. Photo: Tam Anh General Hospital

Huong during her follow-up appointment a week later, consulting with Dr. Thuy. Photo: Tam Anh General Hospital

According to Dr. Khang, myxomas account for 0.01-0.2% of cardiac surgeries. 75% of these are benign. These tumors often occur in the left atrium, although some are found in the right atrium or ventricles. The primary risks associated with myxomas include mechanical obstruction (mitral valve, left ventricular outflow tract) causing sudden death, distant embolism (tumor fragments traveling through the bloodstream and blocking distant vessels such as those in the brain, limbs, or organs), and local damage (mitral valve damage, conduction disorders). Patients may be asymptomatic, while others experience systemic symptoms such as weight loss, fever, fainting, or sudden death.

Doctors recommend that everyone, especially those with unusual symptoms or older adults, undergo thorough checkups at specialized medical centers for early diagnosis and timely treatment. Echocardiography is the standard method for diagnosing myxomas.

Ngoc Chau

Readers can submit questions about cardiovascular diseases here for doctors to answer.
By VnExpress: https://vnexpress.net/khoi-u-di-dong-trong-tim-nguoi-phu-nu-4935273.html
Tags: myxoma TP HCM cardiology

News in the same category

Man drives 200 km to TP HCM despite heart attack

Man drives 200 km to TP HCM despite heart attack

During a trip to Phan Thiet, Hai, 37, experienced sudden chest pain and shortness of breath, symptoms similar to a previous heart attack, yet he still drove back to TP HCM before seeking hospital admission.

Early hair loss: a growing concern for young people

Early hair loss: a growing concern for young people

Hair loss not only impacts appearance but also takes a psychological toll, causing many, especially young people, to lose confidence and avoid social interaction.

The hidden enemy after a stroke

The hidden enemy after a stroke

Adjustment disorder is a psychological reaction appearing within the first three months after a stroke, which can lead to chronic depression or anxiety if not detected in time.

Why are young people getting cataracts?

Why are young people getting cataracts?

Cataracts can develop early, before the age of 60, due to extensive exposure to blue light from phones and computers, or prolonged use of corticosteroid medications.

Elderly individuals with RSV are prone to respiratory failure

Elderly individuals with RSV are prone to respiratory failure

Elderly individuals, with weakened immune systems and multiple underlying conditions, when infected with RSV virus, develop fever, cough, shortness of breath, and quickly progress to respiratory failure.

Early detection of thyroid cancer

Early detection of thyroid cancer

Mr. Hoang, 56, experienced a small lump in his neck and difficulty swallowing; this time, during a medical examination, doctors detected early-stage thyroid cancer.

Efforts to lose weight after childbirth

Efforts to lose weight after childbirth

Gaining 25 kg during pregnancy, Ms. Linh, 28, tried fasting, exercising, drinking weight loss tea, and injections after childbirth, but her weight continued to increase.

Sore throat, transient fever can be the onset of kidney disease in young people

Sore throat, transient fever can be the onset of kidney disease in young people

Many young people suffer from kidney failure due to IgA nephropathy, a disease that silently develops after episodes of sore throat or fever but can be detected early through a regular urine test costing 35,000 VND.

How to reduce sinusitis without medication

How to reduce sinusitis without medication

Nasal irrigation with saline, facial steaming with essential oils in hot water, vitamin C supplementation, and drinking warm water can alleviate sinusitis symptoms.

Stirring up a wasp nest, boy stung 35 times nearly died

Stirring up a wasp nest, boy stung 35 times nearly died

A 4-year-old boy in Gia Lai was stung 35 times by wasps, fortunately escaping critical danger after more than three weeks of dialysis and plasma exchange, while a friend in his group did not survive.

Eng English
China 中国人
  • News
  • World
  • Business
  • Entertainment
  • Sports
  • Law
  • Education
  • Health
  • Lifestyle
  • Travel
  • Science
  • Digital
  • Automobiles
FPT Tower, 10 Pham Van Bach Street, Dich Vong Ward,
Cau Giay District, Hanoi, Vietnam
Email: contacts@vnportal.net
Tel: 028 7300 9999 - Ext 8556
Advertise with us: 090 293 9644
Register
© Copyright 2025 vnnow.net. All rights reserved.
Terms of use Privacy policy Cookies