Eng English
China 中国人

Eng English
China 中国人
  • News
  • World
  • Business
  • Entertainment
  • Sports
  • Law
  • Education
  • Health
  • Lifestyle
  • Travel
  • Science
  • Digital
  • Automobiles
  • Trở lại Thể thao
  • Health
Friday, 5/9/2025 | 06:01 GMT+7

Persistent headaches lead to meningioma diagnosis

A 73-year-old woman suffering from persistent headaches was diagnosed with a complex skull base meningioma requiring surgery.

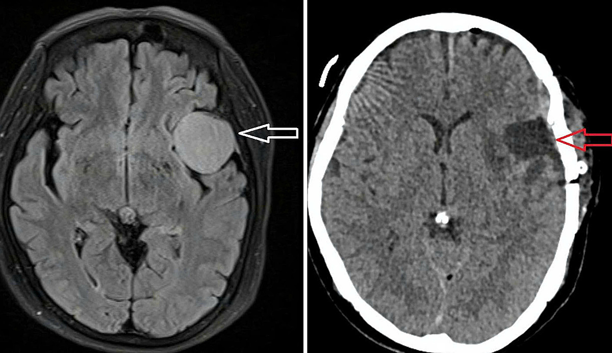
On 4/9, Doctor Truong Long Vy, head of neurosurgery at Thu Duc General Hospital, reported that a CT and MRI scan revealed a 3.5x5 cm meningioma in the patient's left temporal lobe. The patient had several underlying conditions, including diabetes, hypertension, and coronary artery disease, which were not well-controlled. A multidisciplinary team of doctors coordinated preoperative treatment, including discontinuing anticoagulants 5 days prior to the procedure.

The patient's brain tumor before (left) and after (right) surgery. Photo: Hospital provided

The patient's brain tumor before (left) and after (right) surgery. Photo: Hospital provided

The surgical team utilized specialized equipment for cranial microsurgery, including a Mayo head frame, a surgical microscope, and a high-speed drill. The lengthy operation presented difficulties due to the thick dura mater adhering to the skull. The surgeons successfully removed the entire tumor without damaging surrounding structures.

Post-operatively, the patient received specialized care in the intensive care unit, under deep sedation for 48 hours to protect neurological function. She has since recovered, is alert, communicates well, and continues to be monitored at the hospital.

The patient's daughter admitted to initially attributing her mother's headaches to old age, never suspecting a large tumor. "Fortunately, the disease was detected and treated promptly, allowing my mother to recover," she said.

Doctors in the operating room during the patient's surgery. Photo: Quynh Tran

Doctors in the operating room during the patient's surgery. Photo: Quynh Tran

According to Doctor Vy, persistent headaches are not always indicative of a brain tumor. However, if accompanied by neurological symptoms such as visual disturbances, limb weakness, or seizures, prompt medical attention is crucial. Early detection facilitates more effective treatment and prevents tumor growth, which can pose serious risks.

Le Phuong

By VnExpress: https://vnexpress.net/dau-dau-keo-dai-do-u-mang-nao-4935036.html
Tags: headaches brain tumor meningioma Ho Chi Minh City

News in the same category

Man drives 200 km to TP HCM despite heart attack

Man drives 200 km to TP HCM despite heart attack

During a trip to Phan Thiet, Hai, 37, experienced sudden chest pain and shortness of breath, symptoms similar to a previous heart attack, yet he still drove back to TP HCM before seeking hospital admission.

Early hair loss: a growing concern for young people

Early hair loss: a growing concern for young people

Hair loss not only impacts appearance but also takes a psychological toll, causing many, especially young people, to lose confidence and avoid social interaction.

The hidden enemy after a stroke

The hidden enemy after a stroke

Adjustment disorder is a psychological reaction appearing within the first three months after a stroke, which can lead to chronic depression or anxiety if not detected in time.

Why are young people getting cataracts?

Why are young people getting cataracts?

Cataracts can develop early, before the age of 60, due to extensive exposure to blue light from phones and computers, or prolonged use of corticosteroid medications.

Elderly individuals with RSV are prone to respiratory failure

Elderly individuals with RSV are prone to respiratory failure

Elderly individuals, with weakened immune systems and multiple underlying conditions, when infected with RSV virus, develop fever, cough, shortness of breath, and quickly progress to respiratory failure.

Early detection of thyroid cancer

Early detection of thyroid cancer

Mr. Hoang, 56, experienced a small lump in his neck and difficulty swallowing; this time, during a medical examination, doctors detected early-stage thyroid cancer.

Efforts to lose weight after childbirth

Efforts to lose weight after childbirth

Gaining 25 kg during pregnancy, Ms. Linh, 28, tried fasting, exercising, drinking weight loss tea, and injections after childbirth, but her weight continued to increase.

Sore throat, transient fever can be the onset of kidney disease in young people

Sore throat, transient fever can be the onset of kidney disease in young people

Many young people suffer from kidney failure due to IgA nephropathy, a disease that silently develops after episodes of sore throat or fever but can be detected early through a regular urine test costing 35,000 VND.

How to reduce sinusitis without medication

How to reduce sinusitis without medication

Nasal irrigation with saline, facial steaming with essential oils in hot water, vitamin C supplementation, and drinking warm water can alleviate sinusitis symptoms.

Stirring up a wasp nest, boy stung 35 times nearly died

Stirring up a wasp nest, boy stung 35 times nearly died

A 4-year-old boy in Gia Lai was stung 35 times by wasps, fortunately escaping critical danger after more than three weeks of dialysis and plasma exchange, while a friend in his group did not survive.

Eng English
China 中国人
  • News
  • World
  • Business
  • Entertainment
  • Sports
  • Law
  • Education
  • Health
  • Lifestyle
  • Travel
  • Science
  • Digital
  • Automobiles
FPT Tower, 10 Pham Van Bach Street, Dich Vong Ward,
Cau Giay District, Hanoi, Vietnam
Email: contacts@vnportal.net
Tel: 028 7300 9999 - Ext 8556
Advertise with us: 090 293 9644
Register
© Copyright 2025 vnnow.net. All rights reserved.
Terms of use Privacy policy Cookies