Eng English
China 中国人

Eng English
China 中国人
  • News
  • World
  • Business
  • Entertainment
  • Sports
  • Law
  • Education
  • Health
  • Lifestyle
  • Travel
  • Science
  • Digital
  • Automobiles
  • Trở lại Thể thao
  • Health
Tuesday, 16/9/2025 | 16:05 GMT+7

Robotic surgery removes abdominal tumor

A 50-year-old woman, Tan, underwent Da Vinci robotic surgery to remove a large, 6 cm tumor located dangerously close to a major abdominal vein.

Dr. Nguyen Tan Cuong, Deputy Head of the Urology Department at Tam Anh General Hospital in Ho Chi Minh City, explained that the tumor was precariously positioned in front of the iliopsoas muscle, adjacent to the inferior vena cava, and near the spine. It was suspected to have originated from the nerve sheath.

Retroperitoneal tumors, like Tan’s, often grow large before causing noticeable symptoms. Located deep within the body, these tumors may present with vague abdominal pain, a palpable mass, digestive issues, or unexplained weight loss. In Tan's case, the tumor was discovered incidentally during a routine check-up, as she experienced no pain or other symptoms.

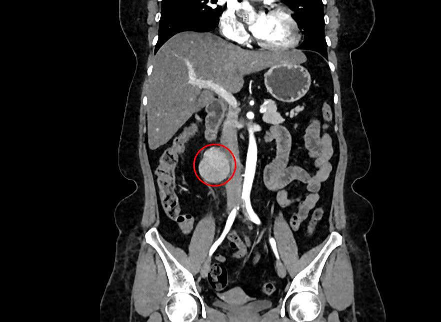
The 6 cm retroperitoneal tumor located near the patient's inferior vena cava. Photo: Tam Anh General Hospital

According to Dr. Cuong, about 30% of retroperitoneal tumors are benign. However, surgical intervention is often necessary to determine the tumor's nature. As these tumors grow, they can compress or invade surrounding organs, impacting blood vessels and nerves.

The Da Vinci Xi robotic surgical system was chosen for its precision, allowing the surgical team to meticulously dissect and remove the entire tumor without damaging critical vascular structures or causing significant bleeding. Tan recovered quickly, able to eat, drink, and walk around her room the day after surgery. She was discharged 3 days later. Histological analysis confirmed the tumor to be a benign nerve sheath tumor.

The Da Vinci Xi robot assisted surgeons in removing Tan's tumor. Photo: Tam Anh General Hospital

Treatment for retroperitoneal tumors varies depending on factors such as whether the tumor is benign or malignant, its size and location, its proximity to other organs, and the patient's overall health. Benign tumors may be surgically removed or monitored if small and asymptomatic. For malignant tumors, complete surgical removal is the primary treatment, offering a low recurrence rate. Some cases may require adjuvant chemotherapy or radiotherapy.

Dr. Cuong recommends regular health check-ups for early disease detection. He also emphasizes the importance of adhering to post-operative follow-up appointments for timely detection of any complications or recurrence.

Ha Thanh

*The patient's name has been changed.

By VnExpress: https://vnexpress.net/robot-phau-thuat-cat-khoi-u-o-bung-benh-nhan-4939819.html
Tags: robotic surgery tumor Ho Chi Minh City

News in the same category

Man drives 200 km to TP HCM despite heart attack

Man drives 200 km to TP HCM despite heart attack

During a trip to Phan Thiet, Hai, 37, experienced sudden chest pain and shortness of breath, symptoms similar to a previous heart attack, yet he still drove back to TP HCM before seeking hospital admission.

Early hair loss: a growing concern for young people

Early hair loss: a growing concern for young people

Hair loss not only impacts appearance but also takes a psychological toll, causing many, especially young people, to lose confidence and avoid social interaction.

The hidden enemy after a stroke

The hidden enemy after a stroke

Adjustment disorder is a psychological reaction appearing within the first three months after a stroke, which can lead to chronic depression or anxiety if not detected in time.

Why are young people getting cataracts?

Why are young people getting cataracts?

Cataracts can develop early, before the age of 60, due to extensive exposure to blue light from phones and computers, or prolonged use of corticosteroid medications.

Elderly individuals with RSV are prone to respiratory failure

Elderly individuals with RSV are prone to respiratory failure

Elderly individuals, with weakened immune systems and multiple underlying conditions, when infected with RSV virus, develop fever, cough, shortness of breath, and quickly progress to respiratory failure.

Early detection of thyroid cancer

Early detection of thyroid cancer

Mr. Hoang, 56, experienced a small lump in his neck and difficulty swallowing; this time, during a medical examination, doctors detected early-stage thyroid cancer.

Efforts to lose weight after childbirth

Efforts to lose weight after childbirth

Gaining 25 kg during pregnancy, Ms. Linh, 28, tried fasting, exercising, drinking weight loss tea, and injections after childbirth, but her weight continued to increase.

Sore throat, transient fever can be the onset of kidney disease in young people

Sore throat, transient fever can be the onset of kidney disease in young people

Many young people suffer from kidney failure due to IgA nephropathy, a disease that silently develops after episodes of sore throat or fever but can be detected early through a regular urine test costing 35,000 VND.

How to reduce sinusitis without medication

How to reduce sinusitis without medication

Nasal irrigation with saline, facial steaming with essential oils in hot water, vitamin C supplementation, and drinking warm water can alleviate sinusitis symptoms.

Stirring up a wasp nest, boy stung 35 times nearly died

Stirring up a wasp nest, boy stung 35 times nearly died

A 4-year-old boy in Gia Lai was stung 35 times by wasps, fortunately escaping critical danger after more than three weeks of dialysis and plasma exchange, while a friend in his group did not survive.

Eng English
China 中国人
  • News
  • World
  • Business
  • Entertainment
  • Sports
  • Law
  • Education
  • Health
  • Lifestyle
  • Travel
  • Science
  • Digital
  • Automobiles
FPT Tower, 10 Pham Van Bach Street, Dich Vong Ward,
Cau Giay District, Hanoi, Vietnam
Email: contacts@vnportal.net
Tel: 028 7300 9999 - Ext 8556
Advertise with us: 090 293 9644
Register
© Copyright 2025 vnnow.net. All rights reserved.
Terms of use Privacy policy Cookies