Eng English
China 中国人

Eng English
China 中国人
  • News
  • World
  • Business
  • Entertainment
  • Sports
  • Law
  • Education
  • Health
  • Lifestyle
  • Travel
  • Science
  • Digital
  • Automobiles
  • Trở lại Thể thao
  • Health
Tuesday, 23/9/2025 | 14:01 GMT+7

Robotic surgery removes kidney tumor without nephrectomy

A 51-year-old man, Mr. Long, had a cancerous tumor nestled deep within his kidney, successfully removed using robotic surgery, avoiding the need for a complete kidney removal.

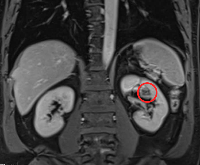
Dr. Nguyen Hoang Duc, Head of the Urology Department at the Urology - Nephrology - Andrology Center of Tam Anh General Hospital in Ho Chi Minh City, explained that Mr. Long's 12 mm tumor was located in the renal hilum, a critical area where arteries and veins enter and exit the kidney. This area also houses vital structures like the renal pelvis and ureter. Due to the high risk of bleeding, a biopsy was not possible. CT and MRI scans were conducted, suggesting renal cell carcinoma.

The cancerous kidney tumor located within the renal hilum, where major blood vessels pass. Photo: *Tam Anh General Hospital*

The tumor posed a risk of spreading to lymph nodes in the renal hilum or surrounding lymphatic system, and even early metastasis through the bloodstream. Traditional surgery carried a high risk of requiring a full nephrectomy due to the difficulty in controlling bleeding during the procedure.

To enhance precision and control over blood vessels, doctors opted for robotic surgery using the Da Vinci Xi system. The robot's four arms were used to carefully dissect the renal hilum, clearly exposing the renal artery, vein, pelvis, and ureter. The 3D magnified images and the robot's 540-degree rotation capability allowed the surgeon to navigate the confined space, maneuvering around the blood vessels to precisely remove the tumor with minimal bleeding and preserving healthy kidney tissue. Post-surgical histology confirmed the initial diagnosis of cancer.

Mr. Long recovered quickly, his health stabilized, and he was discharged early. He will undergo follow-up examinations every 3-6 months with imaging (CT, ultrasound) and kidney function tests to monitor for recurrence. Doctors recommended a healthy lifestyle, including a low-sodium diet, reduced animal protein intake, no smoking, blood pressure control, and limited exposure to harmful chemicals.

Dr. Duc (front) connects the robotic arms to the trocars, instruments that allow access to the surgical site. Photo: *Tam Anh General Hospital*

Renal cell carcinoma is the most common type of kidney cancer in adults, accounting for 85% of cases. In its early stages, the disease often presents no noticeable symptoms and is typically diagnosed through CT or MRI scans, occasionally with a kidney biopsy. As the disease progresses, symptoms such as blood in the urine, flank pain, unexplained fever, and a palpable mass may appear.

According to Dr. Duc, surgery is the primary treatment for most kidney cancers, including open surgery, traditional laparoscopic surgery, and robot-assisted laparoscopic surgery. Depending on the tumor's size and location, a full or partial nephrectomy is performed, aiming to preserve as much kidney function as possible. Early diagnosis and treatment can lead to a 5-year survival rate of approximately 90%.

Ha Thanh

At 8 PM on 23/9, Tam Anh General Hospital in Ho Chi Minh City will host an online consultation: "The new generation Da Vinci Xi Robot: A revolution in the treatment of prostate, kidney, and bladder cancer, and other urological diseases". It will be broadcast on the VnExpress fanpage.

Participating doctors from the Urology - Nephrology - Andrology Center include: Associate Professor Vu Le Chuyen - Director of the Center, Dr. Nguyen Hoang Duc - Head of the Urology Department, Dr. Nguyen Tan Cuong - Deputy Head of the Urology Department and Head of the Urological Oncology Unit, and Dr. Le Phuc Lien - Head of the Female Urology Unit. Readers can submit their questions here.

By VnExpress: https://vnexpress.net/u-ung-thu-chim-trong-ron-than-4942529.html
Tags: Ho Chi Minh City nephrectomy cancer kidney cancer

News in the same category

Man drives 200 km to TP HCM despite heart attack

Man drives 200 km to TP HCM despite heart attack

During a trip to Phan Thiet, Hai, 37, experienced sudden chest pain and shortness of breath, symptoms similar to a previous heart attack, yet he still drove back to TP HCM before seeking hospital admission.

Early hair loss: a growing concern for young people

Early hair loss: a growing concern for young people

Hair loss not only impacts appearance but also takes a psychological toll, causing many, especially young people, to lose confidence and avoid social interaction.

The hidden enemy after a stroke

The hidden enemy after a stroke

Adjustment disorder is a psychological reaction appearing within the first three months after a stroke, which can lead to chronic depression or anxiety if not detected in time.

Why are young people getting cataracts?

Why are young people getting cataracts?

Cataracts can develop early, before the age of 60, due to extensive exposure to blue light from phones and computers, or prolonged use of corticosteroid medications.

Elderly individuals with RSV are prone to respiratory failure

Elderly individuals with RSV are prone to respiratory failure

Elderly individuals, with weakened immune systems and multiple underlying conditions, when infected with RSV virus, develop fever, cough, shortness of breath, and quickly progress to respiratory failure.

Early detection of thyroid cancer

Early detection of thyroid cancer

Mr. Hoang, 56, experienced a small lump in his neck and difficulty swallowing; this time, during a medical examination, doctors detected early-stage thyroid cancer.

Efforts to lose weight after childbirth

Efforts to lose weight after childbirth

Gaining 25 kg during pregnancy, Ms. Linh, 28, tried fasting, exercising, drinking weight loss tea, and injections after childbirth, but her weight continued to increase.

Sore throat, transient fever can be the onset of kidney disease in young people

Sore throat, transient fever can be the onset of kidney disease in young people

Many young people suffer from kidney failure due to IgA nephropathy, a disease that silently develops after episodes of sore throat or fever but can be detected early through a regular urine test costing 35,000 VND.

How to reduce sinusitis without medication

How to reduce sinusitis without medication

Nasal irrigation with saline, facial steaming with essential oils in hot water, vitamin C supplementation, and drinking warm water can alleviate sinusitis symptoms.

Stirring up a wasp nest, boy stung 35 times nearly died

Stirring up a wasp nest, boy stung 35 times nearly died

A 4-year-old boy in Gia Lai was stung 35 times by wasps, fortunately escaping critical danger after more than three weeks of dialysis and plasma exchange, while a friend in his group did not survive.

Eng English
China 中国人
  • News
  • World
  • Business
  • Entertainment
  • Sports
  • Law
  • Education
  • Health
  • Lifestyle
  • Travel
  • Science
  • Digital
  • Automobiles
FPT Tower, 10 Pham Van Bach Street, Dich Vong Ward,
Cau Giay District, Hanoi, Vietnam
Email: contacts@vnportal.net
Tel: 028 7300 9999 - Ext 8556
Advertise with us: 090 293 9644
Register
© Copyright 2025 vnnow.net. All rights reserved.
Terms of use Privacy policy Cookies