Eng English
China 中国人

Eng English
China 中国人
  • News
  • World
  • Business
  • Entertainment
  • Sports
  • Law
  • Education
  • Health
  • Lifestyle
  • Travel
  • Science
  • Digital
  • Automobiles
  • Trở lại Thể thao
  • Health
Thursday, 4/9/2025 | 08:01 GMT+7

Spinal chordoma causes double vision

Hanh, 65, experienced double vision, eye swelling, and drooping eyelids. Doctors discovered a 4x6 cm chordoma deep within his brain.

Dr. Nguyen Duc Anh, head of the Spine Neurosurgery Department at Tam Anh General Hospital Hanoi, said chordoma is a malignant condition, affecting approximately 1 in 1,000,000 people. It originates from notochord tissue, a structure present during fetal development that helps shape the spine and typically disappears before birth. However, in some individuals, residual notochord tissue can develop into a chordoma.

Hanh's tumor grew along the midline, extending backward and compressing the brainstem, causing headaches and dizziness. The tumor eroded bone and spread to both sides, invading part of the cavernous sinus and encasing major blood vessels. Hanh experienced double vision and limited eye movement due to the tumor's pressure on cranial nerves 3, 4, and 6.

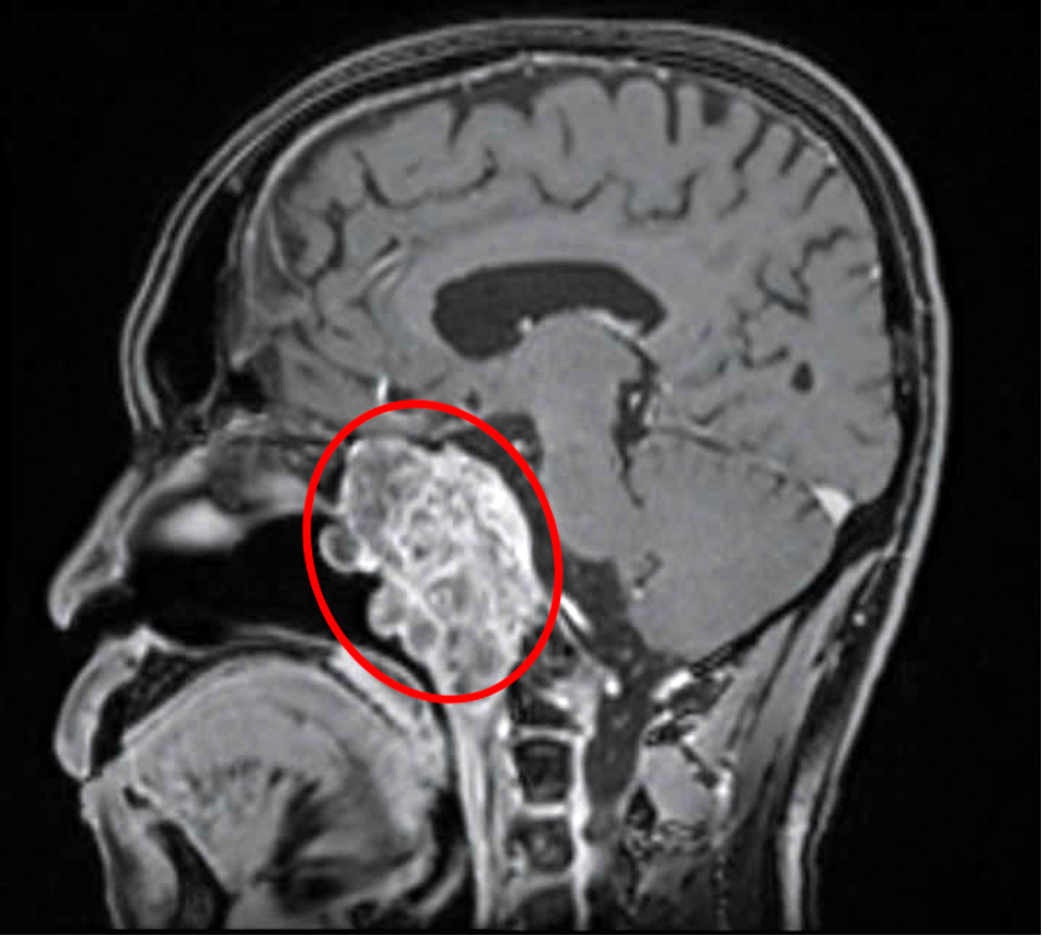
The patient's chordoma had deeply invaded the base of the skull. Photo: Tam Anh General Hospital

According to Dr. Anh, chordomas are often located near critical structures such as the spinal cord, nerves, and major blood vessels, making complete removal challenging and potentially risky. After consultation, the doctors opted for maximal surgical resection followed by adjuvant radiotherapy. The main goal was to completely remove the tumor along with the surrounding healthy tissue to reduce the risk of recurrence.

The Spine Neurosurgery team used a high-magnification, optimally illuminated microsurgical system for the operation. Intraoperative neuromonitoring (IONM) continuously monitored motor, sensory, and cranial nerve functions, providing early warnings of potential damage. The microsurgical system helped the surgeon separate the tumor from blood vessels and nerves with high precision, minimizing the risk of damage and preserving the patient's remaining functions.

The team utilized intraoperative neurophysiological monitoring during the surgery. Photo: Hospital provided

After surgery, the patient received adjuvant radiotherapy to eliminate any residual tumor cells and reduce the risk of recurrence. He is also undergoing regular checkups to monitor his health. Currently, Hanh's health is stable.

Dr. Anh noted that chordomas develop silently but are invasive, destroying surrounding tissue structures and are often detected in late stages. Symptoms include persistent back pain, numbness in the extremities, muscle weakness, persistent headaches, blurred vision, eye swelling, and drooping eyelids. These are easily mistaken for common ailments, leading many to disregard them. The disease is more common in men than women, mainly between the ages of 40 and 70.

If you experience any of the aforementioned unusual symptoms with no clear cause, you should consult a neurosurgeon or ophthalmologist for prompt examination and diagnosis.

Linh Dang

* The patient's name has been changed

Readers can submit questions about neurological conditions here for doctors to answer.
By VnExpress: https://vnexpress.net/u-xuong-chen-ep-day-than-kinh-gay-nhin-doi-4934795.html
Tags: brain surgery brain tumor tumor Hanoi

News in the same category

Man drives 200 km to TP HCM despite heart attack

Man drives 200 km to TP HCM despite heart attack

During a trip to Phan Thiet, Hai, 37, experienced sudden chest pain and shortness of breath, symptoms similar to a previous heart attack, yet he still drove back to TP HCM before seeking hospital admission.

Early hair loss: a growing concern for young people

Early hair loss: a growing concern for young people

Hair loss not only impacts appearance but also takes a psychological toll, causing many, especially young people, to lose confidence and avoid social interaction.

The hidden enemy after a stroke

The hidden enemy after a stroke

Adjustment disorder is a psychological reaction appearing within the first three months after a stroke, which can lead to chronic depression or anxiety if not detected in time.

Why are young people getting cataracts?

Why are young people getting cataracts?

Cataracts can develop early, before the age of 60, due to extensive exposure to blue light from phones and computers, or prolonged use of corticosteroid medications.

Elderly individuals with RSV are prone to respiratory failure

Elderly individuals with RSV are prone to respiratory failure

Elderly individuals, with weakened immune systems and multiple underlying conditions, when infected with RSV virus, develop fever, cough, shortness of breath, and quickly progress to respiratory failure.

Early detection of thyroid cancer

Early detection of thyroid cancer

Mr. Hoang, 56, experienced a small lump in his neck and difficulty swallowing; this time, during a medical examination, doctors detected early-stage thyroid cancer.

Efforts to lose weight after childbirth

Efforts to lose weight after childbirth

Gaining 25 kg during pregnancy, Ms. Linh, 28, tried fasting, exercising, drinking weight loss tea, and injections after childbirth, but her weight continued to increase.

Sore throat, transient fever can be the onset of kidney disease in young people

Sore throat, transient fever can be the onset of kidney disease in young people

Many young people suffer from kidney failure due to IgA nephropathy, a disease that silently develops after episodes of sore throat or fever but can be detected early through a regular urine test costing 35,000 VND.

How to reduce sinusitis without medication

How to reduce sinusitis without medication

Nasal irrigation with saline, facial steaming with essential oils in hot water, vitamin C supplementation, and drinking warm water can alleviate sinusitis symptoms.

Stirring up a wasp nest, boy stung 35 times nearly died

Stirring up a wasp nest, boy stung 35 times nearly died

A 4-year-old boy in Gia Lai was stung 35 times by wasps, fortunately escaping critical danger after more than three weeks of dialysis and plasma exchange, while a friend in his group did not survive.

Eng English
China 中国人
  • News
  • World
  • Business
  • Entertainment
  • Sports
  • Law
  • Education
  • Health
  • Lifestyle
  • Travel
  • Science
  • Digital
  • Automobiles
FPT Tower, 10 Pham Van Bach Street, Dich Vong Ward,
Cau Giay District, Hanoi, Vietnam
Email: contacts@vnportal.net
Tel: 028 7300 9999 - Ext 8556
Advertise with us: 090 293 9644
Register
© Copyright 2025 vnnow.net. All rights reserved.
Terms of use Privacy policy Cookies