Eng English
China 中国人

Eng English
China 中国人
  • News
  • World
  • Business
  • Entertainment
  • Sports
  • Law
  • Education
  • Health
  • Lifestyle
  • Travel
  • Science
  • Digital
  • Automobiles
  • Trở lại Thể thao
  • Health
Tuesday, 23/9/2025 | 08:01 GMT+7

Cancerous lymph nodes disappear after 5 months of targeted therapy

57-year-old Lien, diagnosed with stage 4 non-Hodgkin's lymphoma with enlarged lymph nodes in her neck, abdomen, and bone marrow, saw her lymph nodes disappear after 5 months of targeted therapy.

"The lymph nodes have completely disappeared, and no new lesions have appeared," said Dr. Nguyen Tran Anh Thu, from the Oncology Department of Tam Anh General Hospital in Ho Chi Minh City, after Lien completed 6 cycles of chemotherapy. Throughout her treatment, Lien experienced no nausea, vomiting, or hair loss, maintaining good health and spirits.

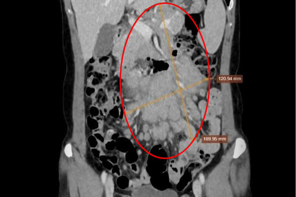
Lien first noticed a lump on the left side of her neck in October of last year. Experiencing frequent abdominal pain recently, she sought treatment at Tam Anh General Hospital in Ho Chi Minh City. A CT scan revealed dozens of lymph nodes clustered together, measuring 12x19 cm, pressing against her intestines. A biopsy of the neck lymph node and bone marrow confirmed a diagnosis of stage 4 malignant lymphoma (lymphatic cancer).

Lien's CT scan shows clusters of lymph nodes, ranging from tiny to large, in her abdomen. Photo: *Tam Anh General Hospital*

Dr. Thu explained that the lesions were present in several areas, including the neck, abdomen, groin, and bone marrow, leading to a diagnosis of non-Hodgkin's lymphoma. This type of cancer is known for its poor prognosis and presents greater treatment challenges compared to Hodgkin's lymphoma.

Lien's bone marrow contained cancerous cells. Treating bone marrow can lead to side effects like low white blood cell count, anemia, and low platelet count, which can complicate the treatment process. Dr. Thu prescribed targeted therapy combined with targeted chemotherapy. The medication contains a transmembrane protein that binds to the CD20 receptor, helping the immune system identify and eliminate cancer cells effectively, with minimal impact on healthy tissue.

An oncology nurse monitors Lien's IV treatment. Photo: *Tam Anh General Hospital*

According to the Global Cancer Observatory (GlobocanN), Vietnam recorded approximately 4,000 cases of lymphatic cancer in 2022. Of those, over 3,500 were non-Hodgkin's lymphoma, resulting in more than 2,200 deaths.

Lymphoma, a cancer of the lymphatic system, occurs when lymphocyte cells grow uncontrollably. There are two main types: non-Hodgkin's lymphoma (accounting for about 90% of cases) and Hodgkin's lymphoma. Early detection often leads to successful management. However, late-stage diagnosis and treatment significantly increase the risk of death, according to Dr. Thu.

Several factors can increase the risk of lymphoma, including exposure to chemicals and pesticides, infections, chronic inflammation of lymphoid tissue, cytomegalovirus (CMV) infection, and hepatitis C. Individuals with weakened immune systems or autoimmune diseases such as HIV, rheumatoid arthritis, inflammatory bowel disease, and Sjogren's syndrome are also at higher risk.

Dr. Thu recommends a balanced diet, regular exercise, limiting alcohol and stimulants to strengthen the body, and prevent infections and immune deficiency. Those working with chemicals should use appropriate protective gear. Regular health checkups and cancer screenings, as advised by doctors, can facilitate early detection and timely treatment. Anyone with lymph nodes that remain swollen for more than two weeks should seek medical evaluation for accurate diagnosis and appropriate treatment.

Bao Tram

*The patient's name has been changed.

By VnExpress: https://vnexpress.net/hach-ung-thu-tieu-bien-sau-5-thang-dung-thuoc-trung-dich-4942295.html
Tags: lymphoma Ho Chi Minh City lymph nodes cancer treatment

News in the same category

Man drives 200 km to TP HCM despite heart attack

Man drives 200 km to TP HCM despite heart attack

During a trip to Phan Thiet, Hai, 37, experienced sudden chest pain and shortness of breath, symptoms similar to a previous heart attack, yet he still drove back to TP HCM before seeking hospital admission.

Early hair loss: a growing concern for young people

Early hair loss: a growing concern for young people

Hair loss not only impacts appearance but also takes a psychological toll, causing many, especially young people, to lose confidence and avoid social interaction.

The hidden enemy after a stroke

The hidden enemy after a stroke

Adjustment disorder is a psychological reaction appearing within the first three months after a stroke, which can lead to chronic depression or anxiety if not detected in time.

Why are young people getting cataracts?

Why are young people getting cataracts?

Cataracts can develop early, before the age of 60, due to extensive exposure to blue light from phones and computers, or prolonged use of corticosteroid medications.

Elderly individuals with RSV are prone to respiratory failure

Elderly individuals with RSV are prone to respiratory failure

Elderly individuals, with weakened immune systems and multiple underlying conditions, when infected with RSV virus, develop fever, cough, shortness of breath, and quickly progress to respiratory failure.

Early detection of thyroid cancer

Early detection of thyroid cancer

Mr. Hoang, 56, experienced a small lump in his neck and difficulty swallowing; this time, during a medical examination, doctors detected early-stage thyroid cancer.

Efforts to lose weight after childbirth

Efforts to lose weight after childbirth

Gaining 25 kg during pregnancy, Ms. Linh, 28, tried fasting, exercising, drinking weight loss tea, and injections after childbirth, but her weight continued to increase.

Sore throat, transient fever can be the onset of kidney disease in young people

Sore throat, transient fever can be the onset of kidney disease in young people

Many young people suffer from kidney failure due to IgA nephropathy, a disease that silently develops after episodes of sore throat or fever but can be detected early through a regular urine test costing 35,000 VND.

How to reduce sinusitis without medication

How to reduce sinusitis without medication

Nasal irrigation with saline, facial steaming with essential oils in hot water, vitamin C supplementation, and drinking warm water can alleviate sinusitis symptoms.

Stirring up a wasp nest, boy stung 35 times nearly died

Stirring up a wasp nest, boy stung 35 times nearly died

A 4-year-old boy in Gia Lai was stung 35 times by wasps, fortunately escaping critical danger after more than three weeks of dialysis and plasma exchange, while a friend in his group did not survive.

Eng English
China 中国人
  • News
  • World
  • Business
  • Entertainment
  • Sports
  • Law
  • Education
  • Health
  • Lifestyle
  • Travel
  • Science
  • Digital
  • Automobiles
FPT Tower, 10 Pham Van Bach Street, Dich Vong Ward,
Cau Giay District, Hanoi, Vietnam
Email: contacts@vnportal.net
Tel: 028 7300 9999 - Ext 8556
Advertise with us: 090 293 9644
Register
© Copyright 2025 vnnow.net. All rights reserved.
Terms of use Privacy policy Cookies