Eng English
China 中国人

Eng English
China 中国人
  • News
  • World
  • Business
  • Entertainment
  • Sports
  • Law
  • Education
  • Health
  • Lifestyle
  • Travel
  • Science
  • Digital
  • Automobiles
  • Trở lại Thể thao
  • Health
Saturday, 13/9/2025 | 08:02 GMT+7

Dramatic weight loss reveals rare form of lymphoma

A 30-year-old woman, Phuong, lost 26 kg in a year before being diagnosed with lymphocyte-predominant Hodgkin lymphoma.

Phuong experienced coughing, fever, and sudden weight loss early last year. Initially diagnosed with a lung abscess, her condition didn't improve with medication. By the time she reached Tam Anh General Hospital in Hanoi, she had lost 26 kg – half her previous body weight – and was severely debilitated. A CT scan revealed lung lesions and abnormal lymph nodes, suggesting lung cancer or tuberculosis. Dr. Vu Huu Khiem, head of the oncology department, and his team decided to biopsy a lymph node in her chest to determine the cause.

Associate Professor Trinh Tuan Dung, director of the Center for Anatomic Pathology and Cell Biology at Tam Anh General Hospital, conducted specialized histopathological and immunohistochemical tests. These revealed Reed-Sternberg cells in Phuong's lymph nodes, positive for the CD15 and CD30 immunohistochemical markers. This confirmed a diagnosis of classical lymphocyte-predominant Hodgkin lymphoma, a cancer of the lymphatic system.

Associate Professor Dung reviews the histopathological and immunohistochemical test results. Photo: Tam Anh General Hospital

Associate Professor Dung reviews the histopathological and immunohistochemical test results. Photo: Tam Anh General Hospital

Associate Professor Dung explained that Hodgkin lymphoma in the lungs shares symptoms with other lung diseases, such as fever, cough, and uncontrolled weight loss, making misdiagnosis common. The disease has 4 subtypes. "Phuong's classical lymphocyte-predominant Hodgkin lymphoma is the most challenging to diagnose, easily missed because only about 1% of the cells are the diagnostic Reed-Sternberg cells, hidden among 99% normal cells," he said. In some cases, multiple biopsies and immunohistochemical tests are needed for a definitive diagnosis.

According to Dr. Khiem, early detection of Hodgkin lymphoma typically leads to a cure rate of over 90%. However, Phuong's case had progressed for a year before diagnosis, making standard chemotherapy regimens unsuitable.

She received personalized treatment starting with immunotherapy, combined with nutritional support to improve her physical condition and psychological counseling.

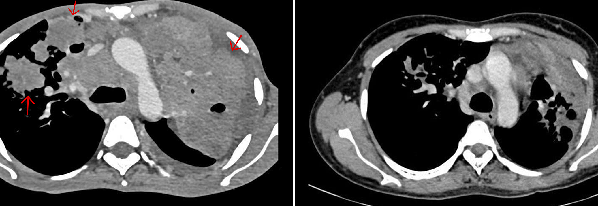
Phuong’s lung CT scan before treatment (left) and after six months (right). Photo: Hospital provided

Phuong’s lung CT scan before treatment (left) and after six months (right). Photo: Hospital provided

After 4 immunotherapy injections, Phuong's fever subsided, and she began to gain weight. After the 5th injection, she had gained 17 kg, reaching 48 kg. Her body mass index (BMI) improved from severely underweight to average. Dr. Khiem's clinical examination revealed that the lymph nodes in her neck and armpits had disappeared. A follow-up lung CT scan showed mostly fibrotic lesions, indicating good lung recovery. Having responded well to the immunotherapy, with no further fever or cough, Phuong transitioned to maintenance therapy.

Dr. Khiem checks on Phuong's health after treatment. Photo: Tam Anh General Hospital

Dr. Khiem checks on Phuong's health after treatment. Photo: Tam Anh General Hospital

Globocan recorded 613 new cases of Hodgkin lymphoma diagnosed in Vietnam in 2022. Dr. Khiem advises anyone experiencing fever, cough, and unexplained weight loss, especially those previously diagnosed with lung conditions that haven't responded to treatment, to consider Hodgkin lymphoma as a possibility.

Associate Professor Dung recommends that individuals with similar symptoms who have undergone biopsies for suspected Hodgkin lymphoma with negative results consider repeat biopsies and immunohistochemical testing to confirm the diagnosis and ensure timely treatment.

Thanh Long

Readers can submit questions about cancer here for doctors to answer.
By VnExpress: https://vnexpress.net/giam-26-kg-moi-biet-ung-thu-hach-bach-huyet-the-kho-chan-doan-4938461.html
Tags: lymphoma cancer diagnosis cancer Hanoi

News in the same category

Man drives 200 km to TP HCM despite heart attack

Man drives 200 km to TP HCM despite heart attack

During a trip to Phan Thiet, Hai, 37, experienced sudden chest pain and shortness of breath, symptoms similar to a previous heart attack, yet he still drove back to TP HCM before seeking hospital admission.

Early hair loss: a growing concern for young people

Early hair loss: a growing concern for young people

Hair loss not only impacts appearance but also takes a psychological toll, causing many, especially young people, to lose confidence and avoid social interaction.

The hidden enemy after a stroke

The hidden enemy after a stroke

Adjustment disorder is a psychological reaction appearing within the first three months after a stroke, which can lead to chronic depression or anxiety if not detected in time.

Why are young people getting cataracts?

Why are young people getting cataracts?

Cataracts can develop early, before the age of 60, due to extensive exposure to blue light from phones and computers, or prolonged use of corticosteroid medications.

Elderly individuals with RSV are prone to respiratory failure

Elderly individuals with RSV are prone to respiratory failure

Elderly individuals, with weakened immune systems and multiple underlying conditions, when infected with RSV virus, develop fever, cough, shortness of breath, and quickly progress to respiratory failure.

Early detection of thyroid cancer

Early detection of thyroid cancer

Mr. Hoang, 56, experienced a small lump in his neck and difficulty swallowing; this time, during a medical examination, doctors detected early-stage thyroid cancer.

Efforts to lose weight after childbirth

Efforts to lose weight after childbirth

Gaining 25 kg during pregnancy, Ms. Linh, 28, tried fasting, exercising, drinking weight loss tea, and injections after childbirth, but her weight continued to increase.

Sore throat, transient fever can be the onset of kidney disease in young people

Sore throat, transient fever can be the onset of kidney disease in young people

Many young people suffer from kidney failure due to IgA nephropathy, a disease that silently develops after episodes of sore throat or fever but can be detected early through a regular urine test costing 35,000 VND.

How to reduce sinusitis without medication

How to reduce sinusitis without medication

Nasal irrigation with saline, facial steaming with essential oils in hot water, vitamin C supplementation, and drinking warm water can alleviate sinusitis symptoms.

Stirring up a wasp nest, boy stung 35 times nearly died

Stirring up a wasp nest, boy stung 35 times nearly died

A 4-year-old boy in Gia Lai was stung 35 times by wasps, fortunately escaping critical danger after more than three weeks of dialysis and plasma exchange, while a friend in his group did not survive.

Eng English
China 中国人
  • News
  • World
  • Business
  • Entertainment
  • Sports
  • Law
  • Education
  • Health
  • Lifestyle
  • Travel
  • Science
  • Digital
  • Automobiles
FPT Tower, 10 Pham Van Bach Street, Dich Vong Ward,
Cau Giay District, Hanoi, Vietnam
Email: contacts@vnportal.net
Tel: 028 7300 9999 - Ext 8556
Advertise with us: 090 293 9644
Register
© Copyright 2025 vnnow.net. All rights reserved.
Terms of use Privacy policy Cookies