Doctor Nguyen Phuc Tan, from the Department of Clinical Immunology at Tam Anh General Hospital, Ho Chi Minh City, states that scleroderma is a rare and dangerous autoimmune disease. It occurs when the immune system malfunctions, attacking healthy tissues. Chronic inflammation stimulates fibroblasts to overproduce collagen, causing tissue fibrosis. This fibrosis affects the skin, blood vessels, and many internal organs, such as the lungs, heart, and kidneys, leading to tissue thickening, hardening, and reduced organ function.
Ms. My was diagnosed with systemic scleroderma in 2018 and received treatment at various medical facilities, but her condition continued to worsen. She was hospitalized due to dyspnea, sharp pain in her fingertips, and a chronic cough. Her fingers and toes became stiff and contracted, her fingertips easily turned cyanotic, and she experienced intermittent sharp pain. Four of her fingers had necrotized and required amputation.
Doctor Tan ordered a comprehensive health screening for Ms. My, a mandatory step for individuals with systemic scleroderma. Results revealed that the disease had silently damaged many organs, most severely causing severe pulmonary arterial hypertension with a PAPs level of 78 mmHg, nearly three times the normal range. She also had interstitial lung disease, which reduced blood oxygen exchange and caused persistent dyspnea. Additionally, the patient suffered from severe peripheral vasoconstriction, known as Raynaud's phenomenon, which directly led to fingertip necrosis because blood could not nourish the extremities.
Weighing 35 kg, Ms. My also presented with esophageal dilation in the thoracic segment and reduced motility, a typical complication of scleroderma that makes it difficult for food to reach the stomach. This caused symptoms of dysphagia, food stagnation, and chronic acid reflux. According to Doctor Tan, this explained Ms. My's prolonged weight loss and emaciation. Without proper monitoring and treatment, scleroderma can progress to severe lung dysfunction due to interstitial lung disease and secondary right heart failure caused by pulmonary arterial hypertension.
![]() |
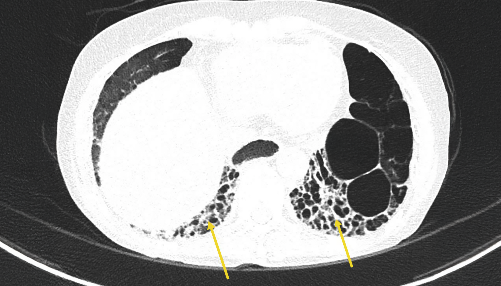
A CT scan of the lungs shows Ms. My has bronchiectasis, honeycomb interstitial lesions in both lung bases, and other damage. Tam Anh General Hospital |
A CT scan of the lungs shows Ms. My has bronchiectasis, honeycomb interstitial lesions in both lung bases, and other damage. Tam Anh General Hospital
Currently, there is no cure for scleroderma, but medication can help control symptoms and prevent complications. Doctor Tan developed a multi-directional treatment regimen to address the disease's root cause and its complications. This included low-dose corticosteroids and immunosuppressants to reduce autoimmune activity, along with peripheral and pulmonary vasodilators to control pulmonary hypertension and prevent heart failure. Concurrently, Ms. My received treatment for gastroesophageal reflux disease, skin care, and restoration of fingertip circulation to prevent new necrosis. The patient underwent inpatient medical treatment to improve her general health and closely monitor disease progression. As her respiratory condition improved, she had follow-up appointments and specialized tests every month.
During one year of treatment, Ms. My's condition worsened multiple times. Increased episodes of dry cough raised the risk of progressive interstitial lung fibrosis, and Raynaud's attacks flared up, increasing the risk of ulcers and limb necrosis. Each time a complication arose, she was hospitalized so doctors could re-evaluate her respiratory function and peripheral circulation, adjusting the treatment regimen based on the extent of interstitial lung damage, the severity of pulmonary arterial hypertension, and the risk of limb necrosis.
Currently, Ms. My's condition has improved significantly: her pulmonary hypertension is controlled, her fingertips are no longer cyanotic, her skin is softer, no new necrotic lesions have appeared, and the disease is not progressing severely. The patient now only requires follow-up appointments every two months and maintenance treatment.
![]() |
Ms. My waits for a follow-up appointment at Tam Anh General Hospital. Hospital provided |
Ms. My waits for a follow-up appointment at Tam Anh General Hospital. Hospital provided
Scleroderma can result from a combination of immune disorder, genetic factors that increase risk, and environmental agents. To reduce the risk of complications, Doctor Tan recommends that patients maintain a healthy lifestyle, avoid smoking, keep their hands and feet warm, eat a balanced diet with small, frequent meals, engage in light exercise, and monitor blood pressure regularly to detect early kidney complications.
If symptoms such as cold fingertips, thick and stiff skin, persistent dysphagia, severe heartburn, chronic cough, or unexplained dyspnea appear, patients should consult a Clinical Immunology specialist for accurate diagnosis and appropriate treatment.
Minh Huong
* Character's name has been changed

