CT and PET/CT scan results for Mr. Truong Van Dung revealed a 58x29 mm tumor in his left lung, which had invaded the adjacent mediastinal pleura, forming a large mass measuring 33x24 mm at the left lung hilum.
Doctor Nguyen Thanh Trung, from the Department of Oncology at Tam Anh General Hospital Hanoi, diagnosed the disease as stage 4 with spinal bone metastasis. The patient was deemed inoperable and required a shift to a systemic treatment regimen.
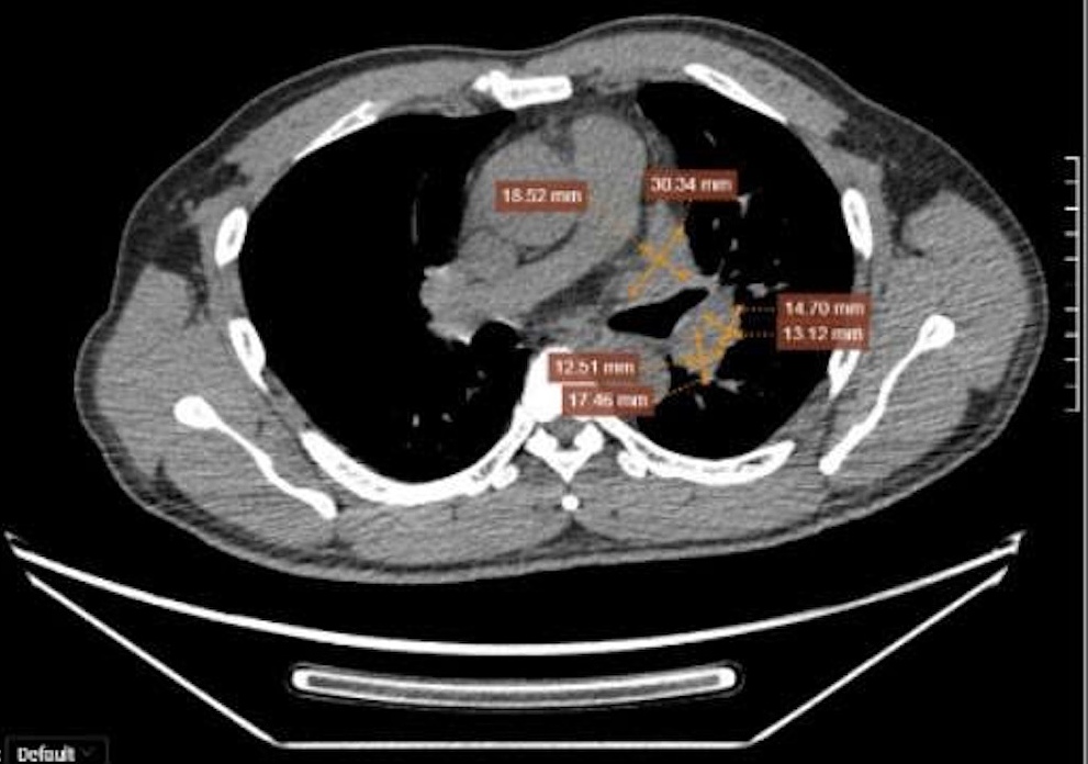
![]() |
Mr. Dung's malignant tumor had invaded and spread to adjacent organs, forming multiple nodes and large masses. Photo: Tam Anh General Hospital
Molecular biological test results indicated that Mr. Dung had non-small cell lung cancer with an EGFR DEL19 gene mutation. EGFR (epidermal growth factor receptors) are responsible for receiving signals from external growth factors, which stimulate cell growth, division, and differentiation. EGFR mutations lead to excessive cell proliferation, a process that can result in cancer.
The patient was treated with a combination of targeted therapy and chemotherapy. "This represents a new approach for patients with non-small cell lung cancer who have drug-sensitive EGFR mutations, as both methods are utilized from the outset," doctor Trung explained. Historically, targeted therapy was often used as monotherapy, with chemotherapy only introduced in later stages.
![]() |
Doctor Trung consulting Mr. Dung. Photo: Tam Anh General Hospital
Doctor Trung further noted that over the past two years, numerous studies have demonstrated that initiating combination treatment from the beginning helps achieve comprehensive control over cancer cells and extends patient survival. For example, a US study involving 155 patients with non-small cell lung cancer showed that combining chemotherapy for EGFR lung cancer extended survival to 25,5 months, compared to 16,7 months with monotherapy.
The combination of targeted therapy and chemotherapy attacks tumors through two distinct mechanisms. Targeted therapy specifically controls cells carrying EGFR mutations, thereby preventing their proliferation. Concurrently, chemotherapy eradicates cancer cell lines that are not dependent on these mutations. This dual approach results in more comprehensive treatment effectiveness and significantly slows down the development of drug resistance, which is the primary cause of disease progression.
Mr. Dung takes targeted medication daily, alongside two types of chemotherapy agents administered intravenously every three weeks. Following two treatment cycles, his health stabilized, and he gained 3 kg. The lymph nodes in his neck decreased in size by 2/3 compared to before treatment, and he no longer experienced chest pain or coughing, enabling him to resume normal daily activities and work.
EGFR, ALK, MET, ROS-1, TP53, and KRAS are some of the gene mutations frequently observed in lung cancer. Notably, EGFR mutations are more common in non-smokers and affect women more often than men. Identifying gene mutations in lung cancer, particularly in non-small cell lung cancer, is crucial for personalizing treatment, guiding doctors in selecting the most appropriate therapeutic approach.
Globocan 2022 data reported that Vietnam recorded over 24.400 new lung cancer cases, ranking 3rd among all cancer types, and nearly 22.600 deaths attributed to the disease. In its early stages, lung cancer often progresses silently, presenting with virtually no symptoms. By the time signs become apparent, the disease is typically in a more advanced stage, making treatment more challenging and complex, leading to numerous complications and a noticeable reduction in treatment efficacy.
Doctor Trung advises everyone to undergo regular health check-ups. Individuals at high risk, including those over 50 who are current or former smokers, have a long history of smoking, or have a family history of lung cancer, should consider low-dose lung CT scans. This method is an effective screening tool for lung cancer, capable of identifying abnormalities even before symptoms manifest.
Hieu Nguyen
*patient's name has been changed
| Readers can submit questions about cancer here for doctors to answer |

