Mr. Tan often woke up in the middle of the night and spoke more slowly. Recently, his symptoms progressed rapidly, including insomnia, blurred vision, unsteady gait, and forgetfulness, prompting him to seek examination at Tam Anh General Hospital, TP HCM. Doctor Tran Mai Hanh Tien, a specialist in the Neurology Department at the Neuroscience Center, noted Mr. Tan's significant memory impairment: he could immediately recall three objects but completely forgot them after 5 minutes, even with prompts. He struggled with simple calculations and could not name animals when asked, indicating that multiple cognitive functions, such as memory, concentration, and language, were affected.
Neurological examination revealed nystagmus (involuntary eye movements), impaired balance, and some abnormal reflexes. The overall assessment showed moderate cognitive impairment, affecting multiple domains including memory, executive function, attention, and language.
Results from a 3 Tesla MRI scan revealed multiple abnormal areas in the cerebral cortex and some deep brain structures. Electroencephalography (EEG) recorded diffuse slow waves in both hemispheres. Doctors ordered a cerebrospinal fluid (CSF) test, which detected elevated 14-3-3 protein (82 ng/mL) – a crucial biomarker supporting the diagnosis of prion-related disease.
![]() |
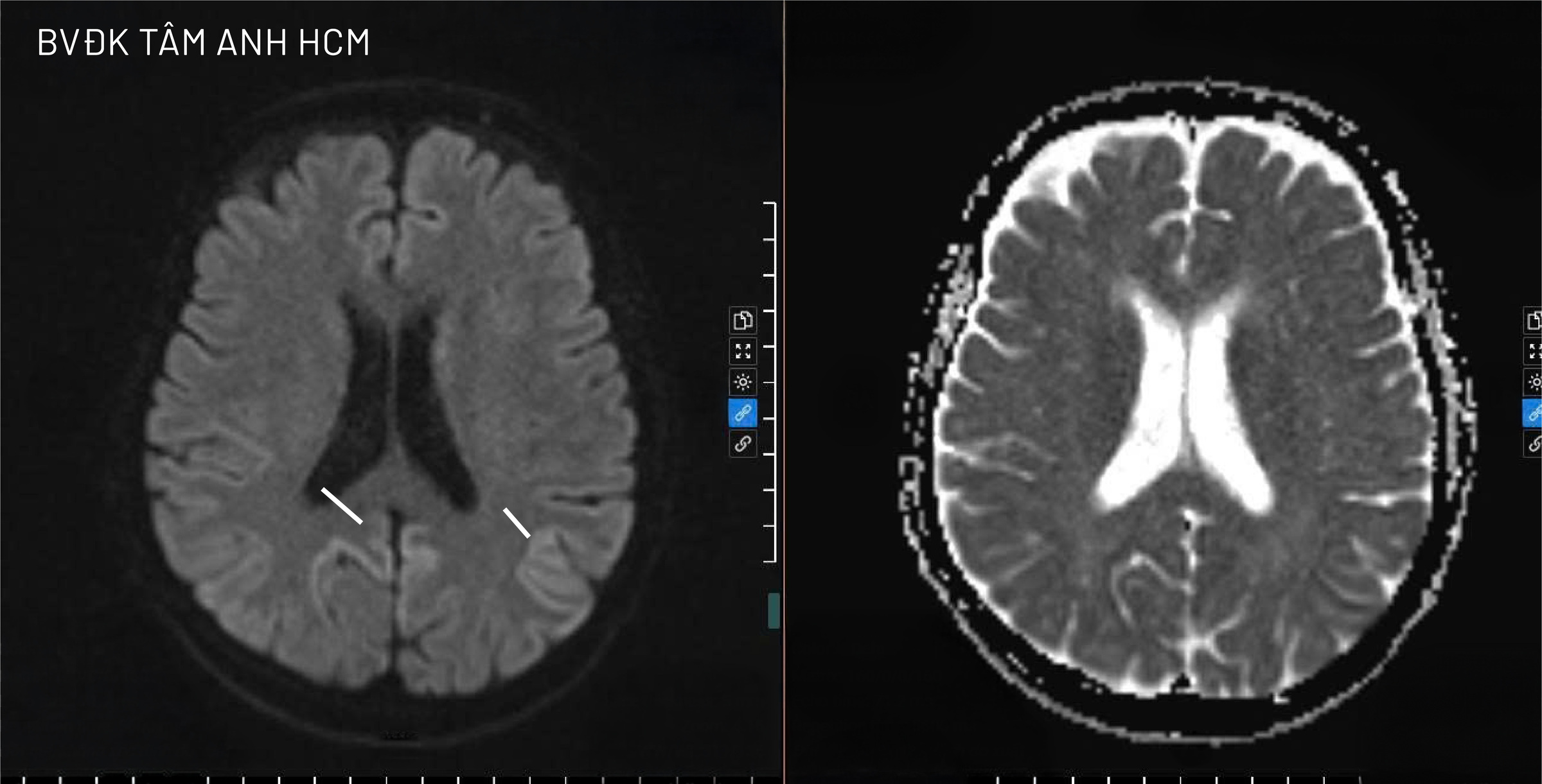
MRI images showed "bright ribbon" hyperintensities in Mr. Tan's cerebral cortex, characteristic of Creutzfeldt-Jakob disease. *Photo: Tam Anh General Hospital* |
According to Doctor Tien, Creutzfeldt-Jakob disease (CJD) is a rapidly progressive prion-related neurodegenerative condition, affecting approximately one in 1,000,000 people. Normally, everyone's brain contains a type of protein called prion (PrP) in a normal, harmless form. However, when this protein misfolds into an abnormal structure, it can "distort" surrounding normal proteins, causing them to also become abnormal and spread like a chain reaction. This process damages nerve cells, leading to their rapid death and creating numerous small holes in brain tissue, which impairs brain function.
![]() |
Mr. Tan underwent a 3 Tesla brain MRI for disease diagnosis. *Photo: Tam Anh General Hospital* |
Mr. Tan is currently receiving palliative care, which includes management of neurological symptoms, nutritional support, and assistance with movement and respiration. The goal is to alleviate discomfort, limit complications, and maintain the best possible quality of life during treatment.
Currently, Creutzfeldt-Jakob disease has no specific treatment because prions are not bacteria or viruses, so they do not respond to antibiotics, antivirals, or immunosuppressants. Once prions initiate the chain reaction of transformation in the brain, nerve cell damage is continuous and irreversible, according to Doctor Tien.
The disease typically progresses rapidly through stages. Initially, patients experience memory decline and behavioral changes. Subsequently, they lose motor coordination, develop muscle jerks, have swallowing difficulties, speech problems, and reduced consciousness. In the late stage, patients are almost unable to communicate, become bedridden, and are entirely dependent on care.
Elderly individuals experiencing rapidly progressive dementia over several weeks to months, accompanied by balance disorders, behavioral changes, or visual disturbances, should seek early neurological consultation. Brain MRI with diffusion-weighted imaging and EEG help doctors diagnose and differentiate CJD from treatable causes such as encephalitis, autoimmune diseases, or metabolic disorders, enabling appropriate care and monitoring plans.
Trong Nghia
*Patient's name has been changed
| Readers can ask questions about neurological diseases here for doctors to answer |

