Dr. Chau Tra Linh, from the Ear, Nose, and Throat Center at Tam Anh General Hospital in Ho Chi Minh City, reported that Ms. Han was admitted with controlled nasal bleeding, pain in her nose and left cheek, and tinnitus. An endoscopic examination of her ear, nose, and throat revealed a deviated nasal septum and fluid, including fresh and old blood, in both nasal floor passages. A maxillofacial CT scan confirmed a closed comminuted fracture of the nasal bone, soft tissue injury in the left cheek area, and dental trauma.
![]() |
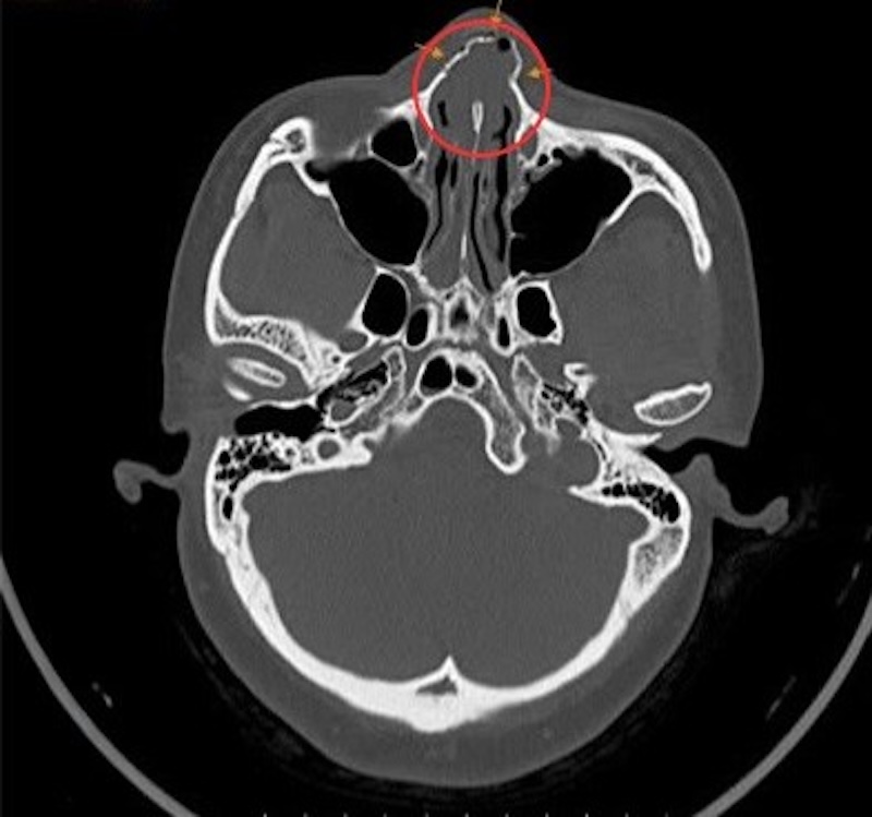
CT scan results showed nasal pyramid displacement and comminuted nasal bone fractures. Photo: Tam Anh General Hospital |
The doctor prescribed medication to reduce swelling in the nasal area and stabilize the patient's condition before surgery.
During the surgery, Dr. Pham Thai Duy, a Master of Science from the Ear, Nose, and Throat Center, used specialized forceps to elevate and realign the nasal bones, ensuring they were straight. Finally, meche (gauze) was placed to stabilize the bones inside the nose, limiting displacement, bleeding, and swelling after the procedure.
Dr. Thai Duy noted that the patient had previously undergone rhinoplasty to reshape her nose. Fortunately, the recent injury did not affect the material used in her previous surgery, so it did not need to be removed or replaced. This current surgery focused on realigning the fractured structures, specifically the nasal bones and internal maxillofacial bones.
Post-surgery, Ms. Han recovered well and was discharged after three days. At her follow-up appointment, the surgical wound had healed properly, her nose was symmetrical, and her airway was clear.
![]() |
Dr. Thai Duy performs endoscopic rhinoplasty on Ms. Han. Photo: Tam Anh General Hospital |
Dr. Thai Duy advises that individuals with nasal fractures need early and proper treatment, ideally within the first four to seven days after the injury, before callus formation. This timeframe allows doctors to realign the nasal bones to their original position, preserving the natural shape of the nose and minimizing deformities. Delayed treatment can lead to callus formation in an incorrect position, resulting in a humped, sunken, or deviated nasal bridge, causing facial asymmetry. Over time, the soft tissues around the nose can scar and contract, deforming the nasal skin, reducing elasticity, affecting aesthetics, and causing nasal obstruction and difficulty breathing due to a deviated septum.
After a facial injury, if symptoms such as nasal swelling, pain, bruising, skin abrasions in the nasal area, nasal deformity, bleeding, or nasal congestion occur, patients should consult an ear, nose, and throat specialist for timely diagnosis and treatment.
Uyen Trinh
*Patient's name has been changed

