Endoscopy results at Tam Anh District 7 General Clinic in Ho Chi Minh City revealed a tumor filling Mr. Lang's left nasal cavity. The mass obstructed his posterior choana and nasopharynx, causing bleeding. CT scans further showed the lesion had spread, filling the left ethmoid, frontal, and sphenoid sinuses, as well as both sides of the nasopharynx.
Master of Medicine, Doctor of First Degree Specialization Truong Tan Phat, Head of the Ear, Nose, and Throat Unit, stated that Mr. Lang had exudative rhinosinusitis. Due to suspicion of malignancy, a biopsy of the nasal cavity tumor was ordered. The biopsy confirmed nasal cavity cancer, specifically squamous cell carcinoma. Surgeons at the clinic subsequently removed the malignant tumor and the invaded bone.
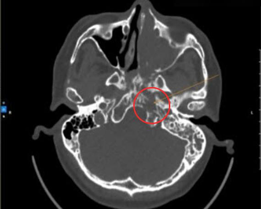
![]() |
The nasal cavity tumor obscuring the patient's nasopharynx area on a CT scan. Photo: Tam Anh District 7 General Clinic |
Nasal cancer is primarily treated with endoscopic surgery to remove the tumor and surrounding tissue. Following surgery, histopathological results guide doctors in determining subsequent treatment plans, which may include chemotherapy or radiation therapy.
According to Dr. Phat, early detection and treatment significantly improve the prognosis for recovery. The five-year survival rate for nasal cavity and paranasal sinus cancer declines with the extent of spread: 82% for localized tumors, 52% for spread to nearby lymph nodes, and 42% for distant metastasis.
![]() |
Dr. Phat performing nasal endoscopy on Mr. Lang. Photo: Tam Anh District 7 General Clinic |
Initial symptoms of nasal cavity cancer are often non-specific, making them easily mistaken for common conditions like sinusitis or nasal polyps. These symptoms include nasal congestion, nosebleeds, and a reduced sense of smell. Accurate diagnosis requires a comprehensive clinical examination, ear, nose, and throat endoscopy, imaging tests (such as MRI and CT scans), and a biopsy.
Most nasal cavity tumors are benign, including nasal polyps, sinonasal mucoceles, and nasopharyngeal angiofibromas. These typically grow slowly and pose less immediate danger but still require timely monitoring and treatment. However, benign tumors can progress to cancer when exposed to high-risk factors such as: regular contact with chemicals, wood dust, leather dust, cigarette smoke, HPV infection, and genetic predispositions.
Dr. Phat advises patients to undergo regular check-ups, promptly remove any abnormal growths, and actively avoid risk factors to prevent the possibility of cancer progression. If abnormal ear, nose, or throat symptoms appear, such as persistent nasal congestion, loss of smell, or nosebleeds, patients should seek medical examination for timely diagnosis and treatment.
Uyen Trinh
| Readers can ask questions about ear, nose, and throat conditions here for doctors to answer |

