Mr. Phong, 70, successfully underwent radical embolization for two malignant liver tumors at Tam Anh General Hospital Hanoi. The procedure, known as superselective transarterial chemoembolization (TACE), led to a complete response, with his cancer cells necrotizing and his health improving significantly.
Mr. Phong's tumors were discovered during a routine cancer screening, despite him experiencing no unusual symptoms. His history of smoking for over 30 years, along with cirrhosis and hepatitis B virus infection, placed him at high risk. An ultrasound revealed a hypoechoic mass in his liver. Blood tests showed an AFP (alpha-fetoprotein) level exceeding 1440 ng/ml, over 200 times the normal threshold, a strong indicator of liver cancer. CT scans confirmed two liver tumors, measuring 15x20 mm and 37x34 mm. Additionally, he presented with thoracic aortic dissection, atherosclerosis, aneurysms in other aortic arteries, and 56% stenosis of the celiac artery origin.
Dr. Tran Hai Binh, Deputy Head of Oncology at Tam Anh General Hospital Hanoi, diagnosed Mr. Phong with stage two liver cancer, without metastasis. He recommended superselective transarterial chemoembolization (TACE).
![]() |
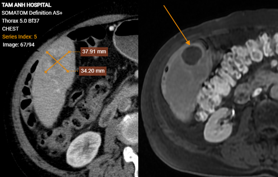
Mr. Phong's liver tumor before (left) and after treatment, showing necrosis (right). Photo: Tam Anh General Hospital |
Mr. Phong's liver tumor before (left) and after treatment, showing necrosis (right). Photo: Tam Anh General Hospital
Dr. Nguyen Xuan Hien, Director of the Center for Diagnostic Imaging and Interventional Radiology, explained that superselective transarterial chemoembolization is a minimally invasive, safe, and effective treatment for malignant liver tumors. The method involves delivering drug-eluting beads to block the artery closest to the tumor, cutting off the blood supply of oxygen and nutrients to cancer cells. Simultaneously, it releases a high dose of chemotherapy directly to destroy the tumor, preventing drug deposition outside the target area.
This direct delivery method minimizes severe side effects often associated with systemic chemotherapy. Some patients achieve a complete response after embolization, avoiding the need for surgery. Embolization is suitable for various cases, including multifocal liver cancer, elderly patients, those with underlying health conditions, or individuals ineligible for surgery.
Under local anesthesia in the right groin area, the medical team made a small incision. A catheter was guided through the femoral artery, up to the abdominal aorta, and then into the hepatic artery. This was performed using digital subtraction angiography (DSA) technology from the Artis Pheno robotic system. Dr. Hien injected the drug-eluting beads, observing a sharp reduction in blood flow to the tumor. The catheter was then withdrawn, and hemostasis was achieved, concluding the one-hour procedure.
Mr. Phong's treatment was staged to assess response and minimize side effects. The first tumor, located in segment VI, was embolized, followed one month later by the second tumor in segment VIII. After both procedures, Mr. Phong experienced no pain or fatigue, and his liver function indicators remained stable.
A follow-up MRI three months later showed a significant reduction in the size of both liver tumors. They no longer absorbed contrast, indicating that the cancer cells had necrotized. According to Dr. Hien, Mr. Phong's overall health improved, he gained weight, and his AFP level returned to a normal range of 6,5 ng/ml, signifying a complete response to the treatment.
![]() |
The medical team performing liver tumor embolization for Mr. Phong. Photo: Tam Anh General Hospital |
The medical team performing liver tumor embolization for Mr. Phong. Photo: Tam Anh General Hospital
According to Globocan 2022, liver cancer is a leading cause of death in Vietnam, with over 24,500 new cases and more than 23,300 fatalities annually.
Liver cancer often progresses silently, with no symptoms in its early stages. By the time patients experience symptoms such as jaundice, abdominal pain, or impaired liver function, the cancer is often advanced. At this late stage, treatment becomes challenging, the prognosis is poor, and interventions primarily aim to prolong life, typically by 3-6 months.
Doctors recommend annual health check-ups for healthy individuals. Those with high risk factors for liver cancer, such as hepatitis B virus infection, cirrhosis, heavy alcohol consumption, or smoking, should undergo regular liver ultrasounds and tumor marker tests as advised by their doctor. Early detection allows for effective treatment through minimally invasive methods like embolization or radiofrequency ablation. Some liver cancer patients have lived for over 15 years after undergoing embolization.
Thanh Long
*Patient's name has been changed
| At 20h on 12/12, Tam Anh General Hospital will host an online consultation: "Applying high technology - Comprehensive health screening, early cancer detection - safe - fast - effective" broadcast on the VnExpress fanpage. Participating doctors include: Dr. Nguyen Xuan Hien, Director of the Center for Diagnostic Imaging and Interventional Radiology; Dr. Le Ba Ngoc, Head of the General Internal Medicine Department; and Dr. Tran Hai Binh, Deputy Head of Oncology. Readers can submit questions here. |

