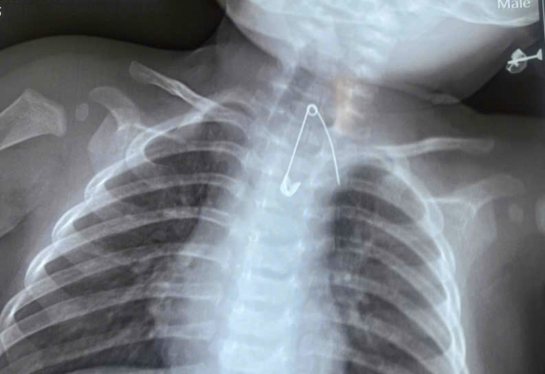
Doctors at Ca Mau Obstetrics and Pediatrics Hospital discovered the pin during imaging scans on 8/1. It was embedded in the soft tissue of the upper one-third of the baby's esophagus, perilously close to the aorta. This foreign object posed a significant risk of severe damage to major blood vessels, leading to massive hemorrhage and life-threatening complications if not promptly addressed. Fortunately, a surgical team successfully intervened to safely remove the object.
![]() |
Safety pin in the esophagus of the 7-month-old boy. Photo: Hospital provided
For approximately three months prior, the baby had experienced frequent coughing and recurrent respiratory infections, according to a hospital representative. The family revealed they commonly used a safety pin to attach a "peace charm" to the baby's clothing, but recently, the pin had gone missing.
According to doctors, many cases of children swallowing foreign objects initially present no obvious symptoms, making early detection challenging for families. When symptoms such as prolonged cough, abdominal pain, persistent vomiting, or other unusual signs appear, children should be immediately taken to a medical facility equipped for diagnosis and treatment to prevent unfortunate consequences.
Doctors advise parents and caregivers to exercise extreme caution in daily activities. They urge keeping sharp objects, small toys, and easily swallowed items out of children's reach, and to closely monitor children for any unusual behaviors or symptoms.
