One day before hospital admission, Ms. Cham experienced fever, chills, severe coughing with thick phlegm, intense chest pain, and altered consciousness. Upon arrival at Tam Anh General Hospital Hanoi, her SpO₂ level was around 80% (healthy individuals typically have over 95%), indicating acute severe respiratory failure. Widespread consolidation interspersed with ground-glass opacities appeared in both lungs. This impaired gas exchange, reducing oxygen supply to the brain and causing the patient to lose consciousness. Doctors diagnosed pneumonia, with tests positive for the bacterium *Streptococcus pneumoniae*. A high lactate level of 6.58 confirmed septic shock, causing her blood pressure to drop significantly to 78/45 mmHg.
According to Doctor Phung Quang Tung, a specialist in the Intensive Care Unit at Tam Anh General Hospital Hanoi, prolonged shock leads to simultaneous dysfunction of the kidneys, liver, heart, and lungs, resulting in multi-organ failure. This causes metabolic disorders, acidosis, and endogenous intoxication. The disease progressed severely due to the patient's advanced age and underlying conditions of diabetes and hypertension, carrying a high risk of mortality.
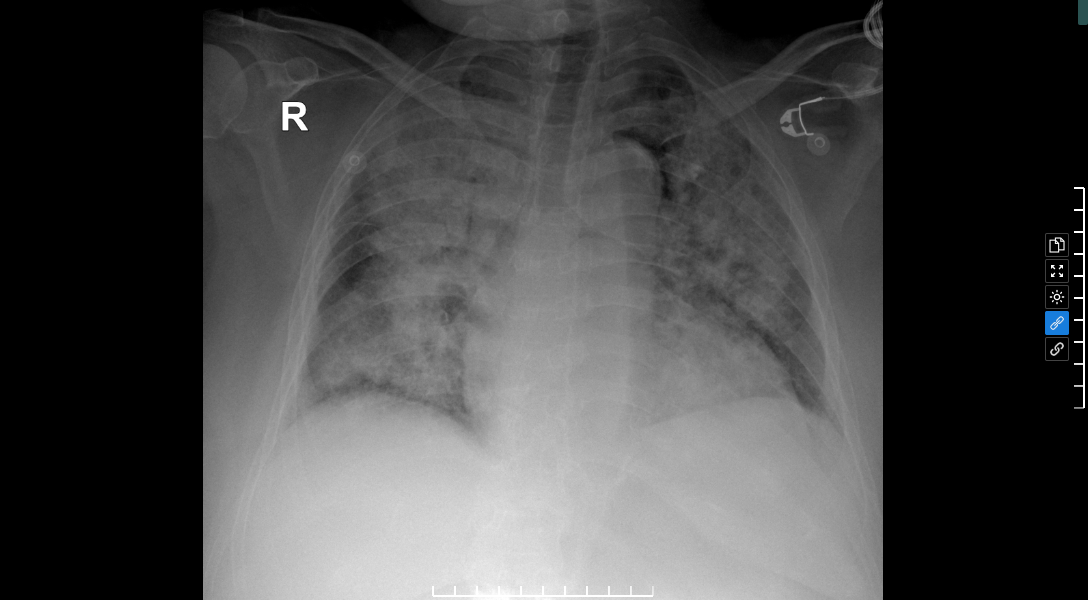
![]() |
X-ray image shows dense lesions in both lungs. *Photo: Tam Anh General Hospital*
Doctors intubated the patient to support respiration, administered broad-spectrum antibiotics, and combined them with vasopressors to raise blood pressure and improve perfusion to multiple organs. Subsequently, the Intensive Care Unit doctors used sedatives to keep her in a controlled, deep sleep, reducing oxygen consumption and irritation. She underwent continuous hemodialysis four times, which removed accumulated toxins and corrected electrolyte imbalances.
Doctors faced many challenges during treatment, as the patient depended on vasopressors, and each hemodialysis session carried the risk of unstable blood pressure. The medical team managed her metabolic disorders to prevent the multi-organ failure from worsening. Later, she underwent bronchoscopy to suction out phlegm, inflammatory fluid, and secretions accumulated in her airways, clearing her respiratory tract, supporting oxygen delivery to the alveoli, and preventing lung collapse and worsening respiratory failure.
Ms. Cham responded well to the prescribed treatment. Vasopressors were stopped after three days, and the endotracheal tube was removed. Her health gradually improved, and she was discharged after 20 days of treatment.
![]() |
Ms. Cham recovers after pneumonia complications caused multi-organ failure and septic shock. *Photo: Tam Anh General Hospital*
Doctor Tung noted that prolonged cold spells in northern Vietnam, along with significant day-night temperature differences, weaken the respiratory tract's protective barrier. Sudden temperature changes make it difficult for elderly bodies to adapt. Bacteria can easily invade the lungs, causing infections that progress rapidly.
In Ms. Cham's case, the disease progressed quickly, but her initial symptoms were not clear. Doctor Tung explained that in elderly individuals with underlying conditions like diabetes, the immune response is often suppressed, which can mask infection symptoms. Patients may only experience a mild fever, cough, or transient fatigue, while inflammatory damage in the lungs quietly spreads.
Elderly individuals should stay warm, avoid sudden temperature changes, and closely monitor for unusual signs during the cold season. If they experience fever, severe cough, fatigue, chest pain, or difficulty breathing, they should seek medical attention early and avoid self-treating at home.
By Khue Lam
| Readers can submit questions about respiratory health here for doctors to answer. |

