Master-Doctor Nguyen Quang Huy, from the Orthopedic Trauma Department at Tam Anh General Hospital Hanoi, ordered emergency surgery. This procedure aimed to help the patient regain mobility quickly and prevent complications such as blood clots, pressure sores, and pneumonia from prolonged immobility. A multidisciplinary team including emergency, internal medicine, geriatrics, cardiology, anesthesia and resuscitation, orthopedic trauma, nutrition, and rehabilitation collaborated. They performed the surgery within 24 hours, recognized as the "golden hour" for such cases.
![]() |
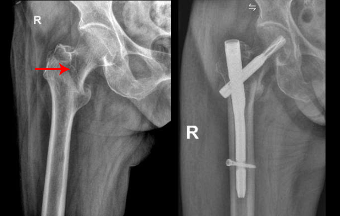
Ms. Loc's intertrochanteric femoral fracture before and after surgery. Photo: Tam Anh General Hospital |
During Ms. Loc's multidisciplinary pre-operative screening, doctors found a coronary artery branch narrowed by 80-90%. They carefully calculated the appropriate anesthesia dosage. The surgical team utilized an orthopedic operating table for reduction and checked the intertrochanteric femoral fracture using an image intensifier screen and a mobile X-ray system (C-arm). This positioned the patient optimally to shorten surgical time.
Within 40 minutes, surgeons made small 2-3 cm incisions outside the fracture site. They performed intramedullary nailing and fixed the intertrochanteric femoral fracture with screws, then closed the incisions. This minimally invasive technique reduced risks during and after surgery, such as blood loss and cardiovascular complications for the patient.
Post-surgery, Ms. Loc recovered well, experiencing no pain. She began bedside physical therapy on the first day. After two days, she could bear weight and practice walking with assistive devices, discharging from the hospital within 6 days.
Ms. Loc will continue physical therapy for the initial 3-6 weeks to strengthen her muscles, aiming to regain full mobility by weeks 8-12. Doctor Huy emphasized that family members must monitor the patient closely, preventing her from moving alone. A re-fracture of the femur would make a second surgery very difficult and carry a high mortality risk.
![]() |
Doctor Huy checks on Ms. Loc after surgery. Photo: Tam Anh General Hospital |
Doctor Huy noted that elderly individuals are prone to falls, with risks increasing in cold weather due to stiff joints and less flexible tendons and muscles, especially at night. Many elderly patients who suffer femoral fractures opt against surgery, choosing only casts or traditional home remedies. However, without timely and appropriate surgical intervention, the mortality risk in the first year after a fracture is high.
Families with elderly members should implement fall prevention measures. These include installing handrails in homes, bathrooms, and on steps, and ensuring beds, chairs, and toilets are at an appropriate height. It is recommended that elderly individuals use canes or walkers, and use a bedside commode at night. When waking up, they should not get out of bed abruptly. They should sit up for 2 minutes to allow their body to fully awaken before leaving the bed.
Family members should limit elderly individuals from bathing or performing daily activities alone, especially in cold weather. If an elderly person falls, experiences severe pain, swelling, or bruising in the hip area, and cannot stand or walk, a femoral fracture should be suspected. They should be taken to the hospital immediately for examination and treatment.
Thanh Long

