Ms. Hoa suddenly experienced dizziness, vertigo, and fainted, falling into an unconscious sleep for 6 hours before recovering. She then sought examination at Tam Anh General Hospital Ho Chi Minh City. A brain MRI scan revealed a large 2,5 cm tumor in the right frontal-parietal region, causing widespread cerebral edema and compression of the right frontal horn of the lateral ventricle. Two lesion nodes were also found in both cerebellar hemispheres, along with many other small tumors throughout the brain (multifocal).
Doctor Nguyen Tran Anh Thu, from the Oncology Department, Oncology Center, stated that brain tumors can cause symptoms similar to a stroke, leading to patient confusion. These tumors are highly likely to be metastatic cancer. The doctor ordered a CT scan of the upper lobe of the left lung, which showed a lesion over 7 cm with irregular borders, causing surrounding lung collapse.
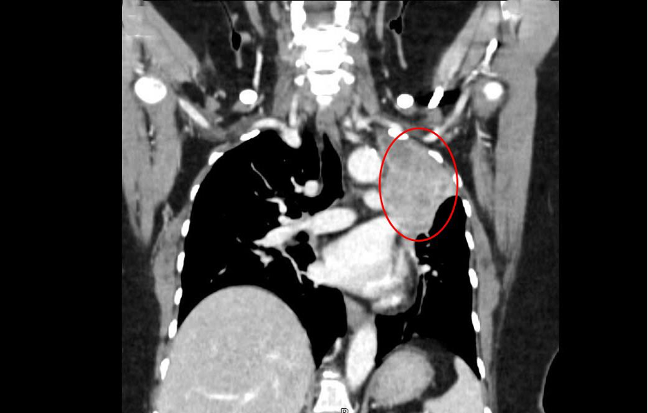
![]() |
The CT scan results showed Ms. Hoa's left lung had a tumor over 7 cm. *Photo: Tam Anh General Hospital*
Following a consultation, neurosurgeons performed brain surgery to completely remove the 2,5 cm tumor to relieve intracranial pressure, helping to reduce the patient's symptoms. Pathological examination of the brain lesion confirmed adenocarcinoma of the lung metastasized to the brain. Subsequent tests recorded further metastasis in Ms. Hoa's liver, adrenal glands, and bone.
According to doctor Thu, the disease was discovered at a late stage, so the primary treatment goal is to improve symptoms, alleviate pain, and enhance quality of life. In addition to pain medication, Ms. Hoa underwent radiation therapy to reduce severe headaches, nausea, dizziness, and loss of balance.
Ms. Hoa had multiple metastatic tumors throughout her brain (multifocal). Doctor Bui Le Phuoc Thu Thao, Deputy Head of the Radiation Therapy Department, Oncology Center, Tam Anh General Hospital Ho Chi Minh City, prescribed whole brain radiation therapy with 10 beams. However, the brain contains two hippocampal gyri, which play a role in memory, learning, and spatial orientation. Therefore, the medical physics engineering team selected a non-coplanar radiation therapy technique to preserve the hippocampus, reducing cognitive and memory-related symptoms and improving the patient's quality of life. Additionally, she received simultaneous dose escalation to the gross lesions (two cerebellar lesions) to increase treatment effectiveness.
During the first radiation session, the patient felt an increase in symptoms due to the tumor's inflammatory reaction causing increased compression. In subsequent sessions, symptoms gradually improved, and she no longer experienced headaches, nausea, or dizziness, making eating and movement easier.
![]() |
Ms. Hoa received treatment at the Oncology Department, Tam Anh General Hospital. *Photo: Hospital provided*
Lung cancer ranks first globally and in Vietnam for both incidence and mortality. The disease progresses silently; in its early stages, lung cancer often shows no symptoms. When symptoms do appear, the disease is typically in an advanced stage, with the tumor having spread, invading the lymphatic system and distant organs via the bloodstream and lymphatic vessels.
Doctor Anh Thu stated that when lung cancer is detected early and treated correctly, patients have a high chance of being cured or having the disease controlled, leading to a good prognosis. Everyone should undergo regular health check-ups. High-risk groups, such as individuals aged 50 and above with a history of smoking, should undergo screening with low-dose lung CT scans to check lung health, allowing for early detection of any abnormalities and effective treatment.
Bao Tram - Mi Nguyen
*Character names have been changed
| Readers can send questions about cancer here for doctors to answer |

