On 12/11, the A9 Emergency Center, Bach Mai Hospital, admitted a patient in a comatose state, with high fever and urinary incontinence. More than two weeks prior, he only experienced nasal congestion, a runny nose, and mild headaches. He sought medical attention and was prescribed antibiotics, but his condition did not improve.
Doctor Nguyen Huu Quan from the A9 Emergency Center stated that the patient's condition began with acute purulent sinusitis. The infection then spread, causing inflammation on half of his face, quickly leading to altered consciousness and seizures. Magnetic resonance imaging (MRI) of the brain revealed diffuse edema, a typical sign of cavernous sinus thrombosis—a rare infectious blood clot condition at the base of the skull.
"Despite aggressive emergency treatment with broad-spectrum antibiotics, anti-brain swelling medication, and mechanical ventilation, the patient's prognosis remains severe, with a high risk of mortality due to the infection having spread to the brain, meninges, and major blood vessels," said Doctor Quan.
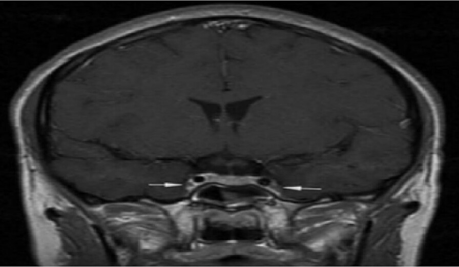
![]() |
The arrows indicate inflammation and spasm of both internal carotid arteries. *Photo: Hospital provided*
The cavernous sinus is a complex venous system located deep within the base of the skull. It drains blood from the facial area and is associated with multiple optic and oculomotor nerves. When this area becomes thrombosed, bacteria can cause bulging eyes, nerve paralysis, vision loss, and even lead to purulent meningitis, cerebral infarction, and death. The mortality rate for this condition is up to 30%, and one-third of survivors suffer severe sequelae such as blindness or facial paralysis.
According to experts, the disease typically develops 5 to 10 days after a facial infection, such as boils in the nose or upper lip area, or sinusitis, or dental infections. The disease progresses rapidly and can be fatal within days if not properly treated.
Doctors advise people to seek medical attention immediately if early warning signs of cavernous sinus thrombosis appear. These signs include: severe headaches accompanied by unexplained high fever; redness and swelling around the eyes, bulging eyes, drooping eyelids, and double vision. Crucially, if swelling rapidly spreads to the other eye within 24 to 48 hours, it is highly indicative of this dangerous condition.
To prevent this, people should avoid self-treating acne or boils in the facial "danger triangle" (the area around the nose and upper lip), as this region has blood vessels that connect directly to the cavernous sinus in the brain. It is essential to completely treat ear, nose, throat, and dental infections, and to avoid self-medicating for persistent headaches, facial swelling, or high fever.
"This is a silent yet devastating disease. A headache or a small pimple can sometimes be the initial signal for a race against death. People need to go to the hospital immediately if they experience unusual symptoms for timely diagnosis and treatment," Doctor Quan emphasized.
Le Nga
