"This is a typical case of prolonged incorrect treatment, where the disease became increasingly serious and impacted the function of many other organs," stated Master, Doctor, Specialist Level I Dang Khoa Hoc, Head of the General Orthopedic Trauma Department at Tam Anh General Hospital, Ho Chi Minh City, during Ms. Hong's examination.
Ms. Hong's knee joint had been swollen and painful for the past 13 years. She had undergone interventions such as fluid aspiration and debridement, but other joints also simultaneously became swollen and painful. She consumed various traditional Chinese medicines and traditional family remedies for many years without improvement. After an examination at a local medical facility, she was diagnosed with rheumatoid polyarthritis. Although prescribed medication, she experienced stomach pain side effects, leading her to discontinue the treatment and continue using medicinal wine and traditional herbal pills.
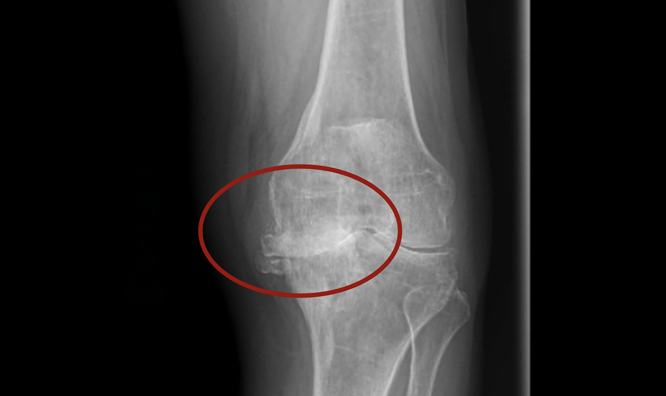
Recently, as her joint pain and swelling intensified, Ms. Hong visited Tam Anh General Hospital, Ho Chi Minh City. X-rays revealed end-stage left knee osteoarthritis, severe deformity, a 15-degree axial deviation, complete cartilage loss, subchondral bone damage, and medial tibial plateau bone loss. The patient also suffered from impaired liver and kidney function, leading to early-stage chronic kidney failure. Doctor Hoc attributed these complications to "the patient's self-medication with numerous drugs over a long period."
![]() |
X-ray results showed Ms. Hong's knee joint suffered severe damage, with bone ends directly rubbing against each other. *Tam Anh General Hospital* |
Doctor Hoc prescribed knee replacement surgery for Ms. Hong using the Cuvis-Joint robot. The J-Planner software utilized 3D CT images to analyze bone structure, create a model, and develop a detailed surgical plan covering the position, bone cutting direction, limb axis, and joint placement.
During the surgery, doctors cross-referenced data with the actual anatomy, balancing the joint and soft tissues using the "GPS map" generated by the robot. After confirming all parameters, doctors instructed the robot to precisely perform bone cuts according to the plan. The artificial joint was then perfectly fitted to the bone, optimizing the outcome.
On the first day after surgery, Ms. Hong experienced pain only at the incision site. By the next day, she could walk stably with the assistance of a walker.
![]() |
Doctor Hoc used the Cuvis-Joint robot, integrated with artificial intelligence (AI), for Ms. Hong's knee replacement. *Tam Anh General Hospital* |
Rheumatoid polyarthritis is a chronic autoimmune disease that cannot be completely cured. If not well-controlled, it can lead to severe complications and damage many other organs, including the eyes, heart, lungs, skin, and blood vessels. In contrast, osteoarthritis is a condition involving damage to cartilage and surrounding joint tissues, causing bone ends to rub against each other during movement, resulting in pain, swelling, and restricted movement.
Doctor Hoc advises patients to seek early examination and adhere to treatment to control symptoms, reduce pain, and improve mobility. Individuals diagnosed with the disease or experiencing musculoskeletal abnormalities should visit a specialized facility early for timely treatment.
Phi Hong
| The "Vietnam's first new generation AI robot for joint replacement: correct indication, safe surgery, superior efficacy" consultation week is taking place on Tam Anh General Hospital's website. Interested readers can continue to submit questions here to receive answers from doctors. |

