Ms. Thoa had a history of enteritis, which did not improve after long-term antibiotic treatment. A CT scan at Tam Anh General Hospital revealed a small bowel loop herniating through the obturator foramen, causing bowel obstruction. Master, Doctor Dao Van Minh, from the General Surgery Department, explained that an obturator hernia is a condition where the intestine passes through the obturator canal, a deep anatomical canal within the pelvis. This type of hernia does not present with a visible bulge, making it difficult to detect and prone to misdiagnosis. It accounts for under 1% of all hernia cases.
This condition commonly affects thin women, like Ms. Thoa, who is 1.35 m tall and weighs 30 kg, with a body mass index (BMI) of 16.5, placing her in the grade two thin category. The obturator foramen in women has a larger diameter than in men, and a wider, more tilted pelvis further expands this opening, creating conditions favorable for an obturator hernia.
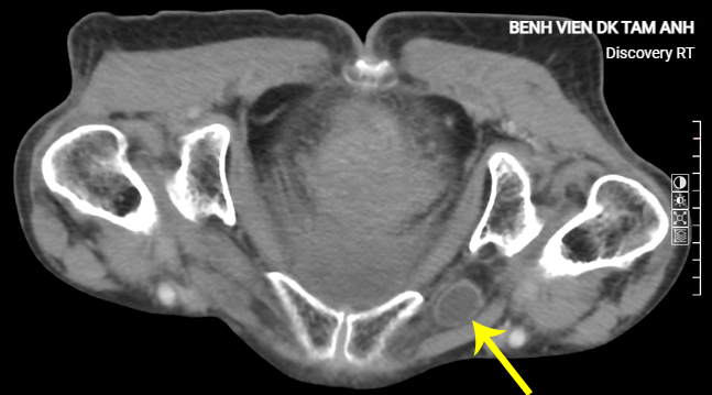
![]() |
A small bowel loop herniating through the obturator foramen on a CT scan. Tam Anh General Hospital. |
A small bowel loop herniating through the obturator foramen on a CT scan. Tam Anh General Hospital.
Since Ms. Thoa's herniated bowel loop had not yet necrotized, Dr. Minh recommended laparoscopic surgery. Doctors used three laparoscopic trocars to access the pelvic region, free the herniated bowel loop, place an artificial mesh with a plug to cover the obturator foramen, and close the incision. Ms. Thoa recovered well and was advised by doctors on a diet to improve her physical condition, being discharged after 5 days.
Dr. Minh noted that an obturator hernia is often mistaken for arthritis because the pain radiates from the iliac fossa to the thigh and knee. This occurs because the herniated bowel loop compresses the obturator nerve, which passes through a small opening in the pelvis and controls sensation and movement in the inner thigh.
![]() |
Dr. Minh visits Ms. Thoa after surgery. Tam Anh General Hospital. |
Dr. Minh visits Ms. Thoa after surgery. Tam Anh General Hospital.
Dr. Minh advises patients to seek immediate medical attention at a specialized hospital if they experience symptoms such as abdominal cramping, constipation, inability to pass gas, or vomiting. While inguinal and femoral hernias are relatively easy to diagnose, an obturator hernia is challenging to detect clinically and through common paraclinical methods.
An obturator hernia does not resolve on its own and requires surgical treatment. With early detection, doctors can perform minimally invasive laparoscopic surgery, avoiding the need for bowel resection and anastomosis, which results in less pain and faster recovery for the patient. If diagnosed late, open surgery may be necessary to remove necrotized bowel loops and irrigate the abdominal cavity in cases of peritonitis, leading to prolonged recovery times and increased risks of complications and mortality.

