Doctor Cao Hoang Trong, from the Department of Neurology, Neuroscience Center, Tam Anh General Hospital Ho Chi Minh City, stated that Mai was conscious, had no slurred speech, no limb weakness, and no seizures. A 3 Tesla MRI scan of the patient's brain blood vessels revealed a blood clot in the left internal jugular vein, obstructing blood flow at the jugular foramen segment. The clot was in the subacute phase and had spread to the sigmoid sinus and a portion of the left transverse sinus.
"The patient is having a stroke," Doctor Trong noted, adding that cerebral venous sinus thrombosis is a condition where a blood clot forms within the venous system that drains blood from the brain to the heart. Unlike stroke caused by arterial occlusion (acute cerebral ischemia), this type of stroke impedes venous blood flow from exiting the brain.
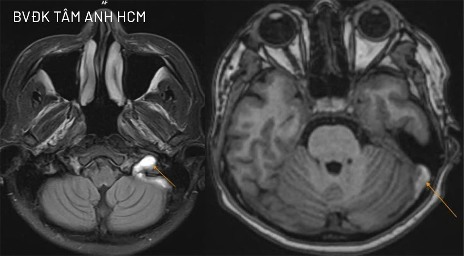
![]() |
MRI image shows the blood clot almost completely blocking the left internal jugular vein, spreading to adjacent venous sinuses. *Tam Anh General Hospital*. |
Cerebral venous sinus thrombosis stroke is easily mistaken for common headaches because initial symptoms are often vague, manifesting solely as headache. However, when a vein is blocked, blood cannot drain and becomes stagnant in the brain parenchyma, increasing intracranial pressure. This pressure can cause blood vessel walls to dilate, leak, or rupture, leading to secondary hemorrhagic stroke. Concurrently, prolonged blood stagnation reduces perfusion to surrounding brain tissue, damaging nerve cells.
According to Doctor Trong, without early intervention, the blood clot can spread, leading to progressive cerebral edema, seizures, and altered consciousness. At this stage, the prognosis is worse, treatment duration is prolonged, and the risk of lasting sequelae is high.
Mai was hospitalized and treated with anticoagulation according to protocol, combined with close monitoring of neurological signs and intracranial pressure control. After three days, her headache gradually decreased, and no further complications appeared. She continues to be monitored and will take long-term medication to restore venous blood flow and prevent recurrence.
![]() |
Doctor Trong checking Mai's motor function before her discharge. *Tam Anh General Hospital*. |
Doctor Trong explained that headaches from cerebral venous sinus thrombosis often progressively worsen daily, are continuous, and respond poorly to common pain relievers. Some cases include nausea, blurred vision, seizures, or limb weakness. In contrast, tension headaches or migraines typically occur in episodes, often with an aura, and respond somewhat to specific medications.
Patients experiencing unusually severe headaches that progressively worsen or differ from previous episodes should consult a neurologist for examination, diagnosis, and timely treatment.
Trong Nghia
*Character's name has been changed*

