Mr. Trinh, who had suffered from polyarthritis, joint pain, and a synovial cyst in his knee for years, sought treatment. Blood tests at Tam Anh General Hospital Hanoi showed elevated white blood cell count, CRP, and procalcitonin. Further examinations, including ultrasound and MRI, confirmed pus and a large 5x10 cm synovial cyst behind his knee, filled with cloudy pus.
![]() |
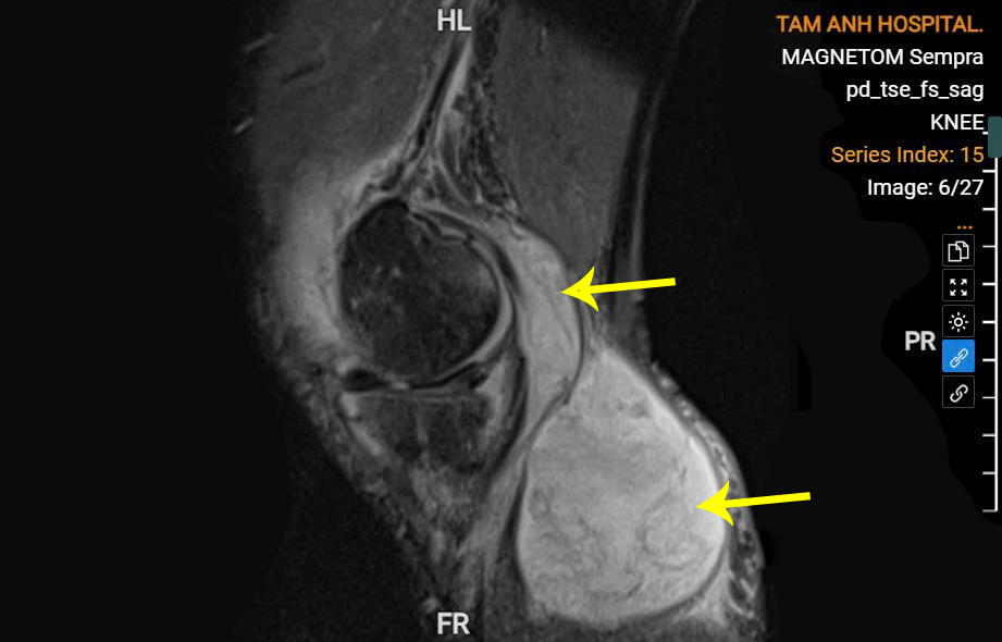
Synovial cyst containing a large pus pocket behind Mr. Trinh's knee. *Photo: Tam Anh General Hospital*
Dr. Tran Tuan Anh, an orthopedic trauma specialist, diagnosed Mr. Trinh with a knee joint pus infection. The doctor suspected that unsterile traditional methods, such as applying leaves or acupuncture, likely led to the infection.
Doctors surgically removed joint fluid and the synovial cyst for bacterial culture, debrided the cyst, and cleaned the knee joint. Post-surgery, Mr. Trinh was alert, experienced minimal pain, and began antibiotic treatment. After 5 days, his knee swelling and pain subsided, and inflammatory markers decreased. He continued intravenous antibiotics and started rehabilitation exercises.
By the 10th day, Mr. Trinh could walk independently with ease, his knee pain resolved. He was discharged from the hospital, continuing oral antibiotics as prescribed.
![]() |
Mr. Trinh (left) walking with family after treatment. *Photo: Tam Anh General Hospital*
Knee joint pus infection is a dangerous condition where bacteria invade the joint, causing acute infection and pus accumulation. If left untreated, the pus can destroy vital structures such as articular cartilage, menisci, and the synovial membrane, damage knee ligaments, cause osteomyelitis (bone infection), or spread deeper, leading to sepsis (blood poisoning).
Doctors advise individuals with chronic musculoskeletal conditions to seek treatment at multidisciplinary hospitals with appropriate equipment and sterile facilities for joint injections. Patients should attend regular follow-up appointments, avoid reusing old prescriptions, and never self-adjust or stop medication. It is crucial to avoid folk remedies from uncertified healthcare facilities or practitioners lacking proper licenses and professional qualifications.
Thanh Long
| Readers can submit questions about musculoskeletal conditions here for expert answers. |

