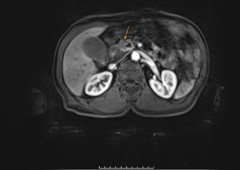
After several weeks of medication for elevated liver enzymes, Mr. Quang's skin and eye whites turned yellow, prompting him to visit Tam Anh General Hospital, TP HCM. Tests revealed his liver enzymes were 30 times higher than normal, with ALT (GPT) reaching 1,600 U/L (normal is around 50 U/L). A CT scan of the pancreas and an abdominal MRI identified a lesion approximately 20 mm in size in the head of the pancreas. This lesion was compressing and invading the pancreatic duct, which was dilated to 7 mm. The gallbladder wall was edematous, and the common bile duct was dilated both inside and outside the liver.
![]() |
Abnormal lesion in the head of the pancreas on CT scan. Photo: Tam Anh General Hospital
Doctor of Medicine, Level II, Vo Ngoc Bich from the Liver - Biliary - Pancreatic Department, Center for Endoscopy and Endoscopic Digestive Surgery, diagnosed Mr. Quang with rapidly progressing pancreatic cancer. The tumor was located in the head of the pancreas, necessitating a pancreaticoduodenectomy (Whipple procedure) to remove the entire tumor and prevent invasion and metastasis to other organs.
Before surgery, the patient underwent external biliary drainage to stabilize liver enzymes, reduce infection risk, and prevent anastomotic leakage.
![]() |
Doctor Bich (left) performing laparoscopic pancreaticoduodenectomy on Mr. Quang. Photo: Hospital provided
The surgical team removed the head of the pancreas, the gastric antrum, duodenum, the first loop of the jejunum, the gallbladder, the distal common bile duct, and performed a lymphadenectomy of surrounding nodes. After tumor removal, doctors reconstructed the digestive tract by connecting the remaining pancreas, bile duct, and stomach to the small intestine to restore digestive function.
Two days post-surgery, the patient was able to walk and was discharged after 10 days. Pathology results confirmed highly differentiated pancreatic ductal adenocarcinoma, with clear surgical margins and regional lymph nodes showing only inflammation, not malignancy.
![]() |
Doctors checking on Mr. Quang's health after surgery. Photo: Hospital provided
Pancreatic cancer is particularly dangerous due to its rapid, silent progression. The pancreas is situated deep behind the stomach, making small tumors virtually undetectable during routine clinical examinations. Pancreatic cancer cells tend to invade major blood vessels and nerve bundles around the pancreas early, leading to rapid disease spread. Late detection, when tumors are already in advanced stages, reduces the chances of curative treatment.
Initial symptoms such as bloating, abdominal distension, dull back pain, or persistent fatigue are often vague and easily mistaken for common stomach or digestive issues.
Doctor Bich advises regular health check-ups, especially for high-risk groups: individuals over 50, smokers, those with new-onset diabetes, or a family history of pancreatic cancer or chronic pancreatitis.
Quyen Phan
| Readers can submit questions about digestive diseases here for doctors to answer. |


