Mr. Minh experienced abnormal bowel movements starting last November. A colonoscopy at Tam Anh General Hospital, Ho Chi Minh City, led doctors to diagnose colon cancer, invasive adenocarcinoma, stage two. They recommended surgery followed by chemotherapy, but he declined.
He returned home and began taking traditional medicine, consuming three bowls of decoction daily and avoiding meat. His constipation worsened, he lost 15 kg, struggled to eat and drink, and experienced abdominal pain and bloating. Six months later, he returned to the hospital. An abdominal CT scan revealed a malignant tumor completely narrowing the bowel lumen, leading to fecal impaction and bladder wall thickening. His liver showed two lesions from metastatic colon cancer.
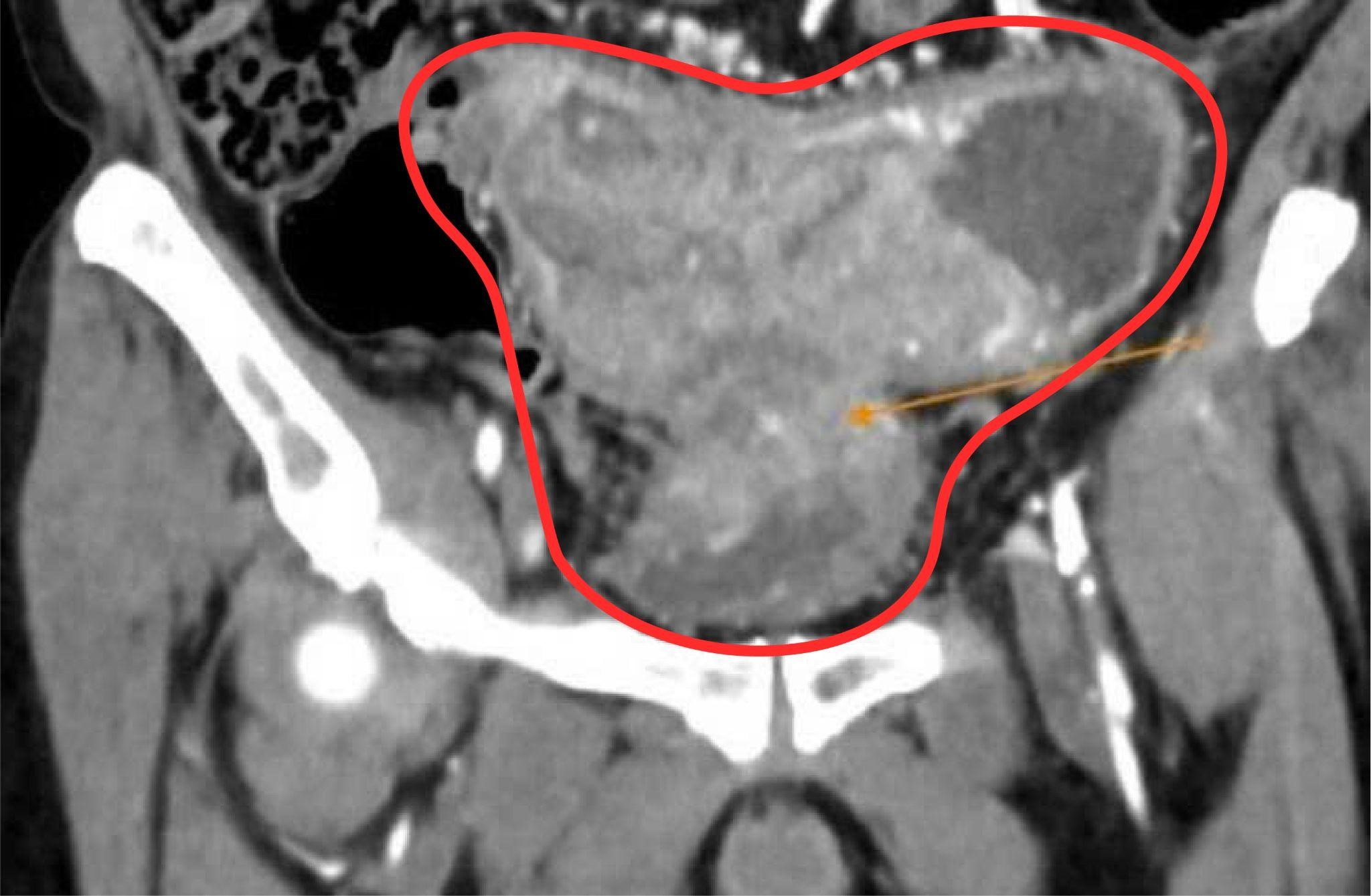
![]() |
Scan images show a malignant tumor narrowing the bowel lumen and thickening the patient's bladder wall. Photo: Tam Anh General Hospital
Doctor Nguyen Tran Anh Thu, a specialist in Oncology, diagnosed Mr. Minh with stage 4 sigmoid colon cancer (the S-shaped final segment of the large intestine before the rectum), with bladder invasion and liver metastasis. Mr. Minh underwent laparoscopic surgery to create a colostomy, followed by targeted therapy combined with chemotherapy using the FOLFOX regimen (a combination of three drugs).
"If he had received treatment at an earlier stage, Mr. Minh would have only needed surgery, possibly with supportive chemotherapy at an appropriate dose, to stabilize his health", Doctor Anh Thu stated. She added that his weakened health and poor immunity made treatment challenging. He developed a urinary tract infection leading to sepsis, requiring 10 days of antibiotics before a subcutaneous port could be placed for chemotherapy. However, after the first cycle, the urinary tract infection recurred. Mr. Minh continued antibiotic treatment until the infection stabilized before proceeding with chemotherapy cycles 2, 3, and 4. Mr. Minh is now maintaining a full, nutritious diet, without the previous dietary restrictions, and drinks 2 liters of water daily.
After three months of chemotherapy, CT scan results showed a reduction in tumor size. Currently, Mr. Minh can eat and drink, has no abdominal pain, his colostomy is functioning well, and there is no bleeding from the original anus.
Doctor Anh Thu noted that traditional medicines can be used in conjunction with chemotherapy and radiation therapy to improve mental well-being, alleviate symptoms, enhance overall health, and reduce side effects. However, when using these remedies, patients must consult their treating physician. They may also combine them with prescribed medications under the guidance of a traditional medicine doctor.
![]() |
A nurse administers medication to Mr. Minh. Photo: Tam Anh General Hospital
Cancer is treated with multimodal therapy (combining several methods), such as surgery, chemotherapy, radiation therapy, and immunotherapy. This approach controls local disease, prevents distant metastasis, and reduces complications. Surgery does not cause malignant cells to spread throughout the body.
Chemotherapy involves introducing chemical drugs into the body to destroy and inhibit the growth of cancer cells. These drugs affect both malignant and healthy cells, potentially causing side effects such as fatigue, weakness, nausea, hair loss, loss of taste, anemia, and bleeding. However, these symptoms can be managed with supportive medications that alleviate symptoms and reduce adverse effects.
Doctor Anh Thu advises cancer patients to follow their doctor's treatment recommendations. Patients should not self-medicate with herbal remedies or folk medicines, as this can forfeit the chance of early-stage cure. When the disease progresses to an advanced stage, treatment becomes complex, costly, and negatively impacts mental health and quality of life.
Bao Tram
*Patient's name has been changed
| Readers can submit questions about cancer here for doctors to answer. |

