Intussusception occurs when one segment of the intestine telescopes into an adjacent segment. It typically affects the small intestine, less commonly the large intestine.
Dr. Ngo Sy Thanh Nam, Deputy Head of the General Surgery Department at Tam Anh General Hospital Hanoi, states that adult intussusception accounts for under 5% of all cases. This condition is complex and can lead to rapid complications, necessitating immediate medical intervention. A key difference between pediatric and adult intussusception lies in its cause. In children, 75-90% of cases are idiopathic, meaning no specific cause is found. Conversely, most adult intussusception cases stem from an underlying organic cause, such as a structural or biological abnormality or lesion. Over 65% of these cases are attributed to either benign tumors (like polyps or lipomas) or malignant tumors (such as adenocarcinoma).
As an intestinal tumor grows, the bowel's contractions can pull the tumor, causing a segment of the intestine to telescope into an adjacent one. In adults, rectal intussusception often indicates cancer. Other conditions, including post-surgical intestinal adhesions, endometriosis, or inflammatory bowel disease, can also trigger intussusception.
![]() |
Dr. Nam explains intussusception to a patient. Photo: Tam Anh General Hospital |
Dr. Nam emphasizes the danger of intussusception due to its high potential for complications:
Gastrointestinal obstruction: The telescoping segments narrow or completely block the intestinal lumen, leading to bowel obstruction. Patients experience symptoms such as abdominal pain, bloating, vomiting, and inability to pass gas or stool.
Ischemia and necrosis: The inner segment of the intussusception becomes compressed by the outer segment, obstructing blood flow. This deprives the bowel loop of blood, leading to tissue necrosis.
Intestinal perforation and peritonitis: Necrotic bowel segments are highly susceptible to perforation, allowing bacteria and digestive contents to leak into the abdominal cavity, causing peritonitis.
Shock and mortality: Peritonitis can rapidly progress to septic shock and death if left untreated.
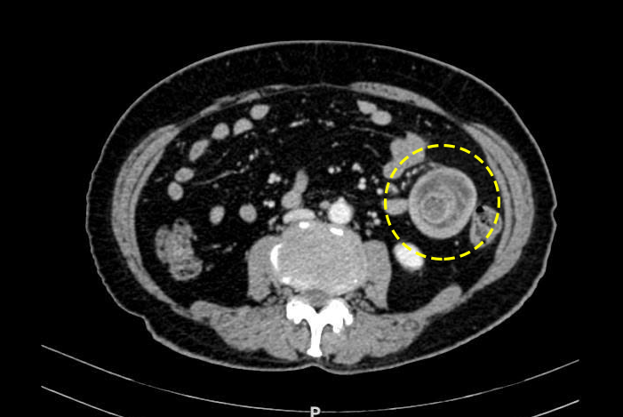
Physicians can detect intussusception during a clinical examination. Abdominal ultrasound may reveal intussusception, but its sensitivity is lower than CT due to interference from intestinal gas. CT scans also help pinpoint the obstruction's location, assess vascular status, and guide the identification of the underlying cause.
![]() |
Intussusception mass on a CT scan. Photo: Tam Anh General Hospital |
Pediatric intussusception is typically managed with non-invasive procedures, such as an air enema into the colon, to push the bowel segment back into its normal position. In contrast, most adults with intussusception require surgery to reduce the intussusception and address its underlying cause.
If cancer causes the intussusception, patients require surgical treatment following oncology principles, ensuring complete tumor removal and systemic lymph node dissection. The choice between open or laparoscopic surgery depends on the patient's specific condition and available equipment.
According to Dr. Nam, the prognosis for intussusception patients directly correlates with the timing of diagnosis and the underlying cause. Early detection and prompt intervention generally lead to favorable treatment outcomes. Delayed treatment significantly increases the risk of mortality and complications due to intestinal necrosis and sepsis. Therefore, patients experiencing suspicious symptoms should seek diagnosis and timely treatment at a multi-specialty hospital.
Thanh Long
| Readers can submit questions about digestive diseases here for doctors to answer. |

