The incident, reported by Guangdong Yangcheng Evening News on 12/4, occurred one evening when a mother named Lam was tutoring her child with homework. Frustrated by her child's slow progress, she lost patience and became enraged. Immediately, she clutched her head, experiencing severe pain, blurred vision, and dimming eyesight. Her family promptly rushed Lam to a local hospital for emergency treatment.
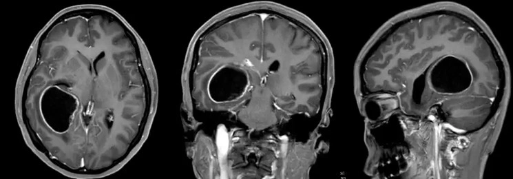
Initial CT and CTA (computed tomography angiography) scans revealed a large space-occupying lesion in the right temporo-parieto-occipital region, accompanied by signs of stroke and hemorrhage within the tumor. Doctors administered anti-edema medication, but the patient's condition remained critical. The local hospital quickly transferred her to Guangdong Brain Hospital 39 that same night.
![]() |
Pre-surgical scan results of patient Lam. Photo: Ycwb |
Doctor Dang Thieu Dung received Lam, who was experiencing continuous vomiting and semi-consciousness. MRI results confirmed the tumor was causing hydrocephalus. The neurosurgery department VII team immediately consulted and decided to surgically remove the tumor. Department head Ngo Thai Hoa directly and completely resected the tumor along the lesion's border, while preserving the integrity of the lateral ventricular structure. Throughout the surgery, doctors used a neurophysiological monitoring system to ensure the highest precision.
Post-operative histopathological analysis concluded that Lam had a high-grade diffuse glioma (grade 3-4 according to the World Health Organization - WHO classification), indicating a very high malignancy. Ten days after the surgery, the patient recovered, walked normally, and was discharged without sequelae. She admitted to previously ignoring persistent headaches and dizziness. The mother vowed to stop pushing her child to study to the point of exhaustion.
Department head Ngo Thai Hoa warned that intracranial space-occupying lesions often progress silently. Strong emotional agitation can cause blood pressure to rise and abruptly change blood flow in the brain. Brain tumors containing a dense network of blood vessels or newly formed, fragile blood vessels are prone to rupture, causing hemorrhage or worsening edema. The doctor advised everyone to manage their emotions well and maintain a stable mood to protect brain health.
![]() |
A parent tutoring a child at home in Shanghai, China, 3/2021. Illustration: China Daily |
Binh Minh (According to Sina, Guangdong Yangcheng Evening News)

