Ms. Thanh developed knee osteoarthritis following an accident. Medication proved ineffective, and her pain progressively worsened. X-ray results at Tam Anh General Hospital TP HCM revealed that Ms. Thanh's right leg suffered from ligament laxity, end-stage knee osteoarthritis, and complete cartilage degeneration. This condition caused the two ends of her knee bones to rub together during movement. The prolonged issue led to joint deformity, severe bowing of her right leg, and her knee hyperextending by approximately 45 degrees.
Dr. Tran Anh Vu, head of the Sports Medicine and Endoscopy Department at the Orthopedic Trauma Center, stated that if the condition continued, the patient risked faster degeneration of the left leg due to bearing additional weight to compensate for the right leg. When the patient tried to walk, their pelvis became misaligned, which could eventually lead to scoliosis. Unstable steps also posed a risk of falls, potentially causing severe injuries such as fractures or dislocations. Patients had to take anti-inflammatory and pain-relieving medications continuously, which significantly affected liver and kidney function and caused gastritis.
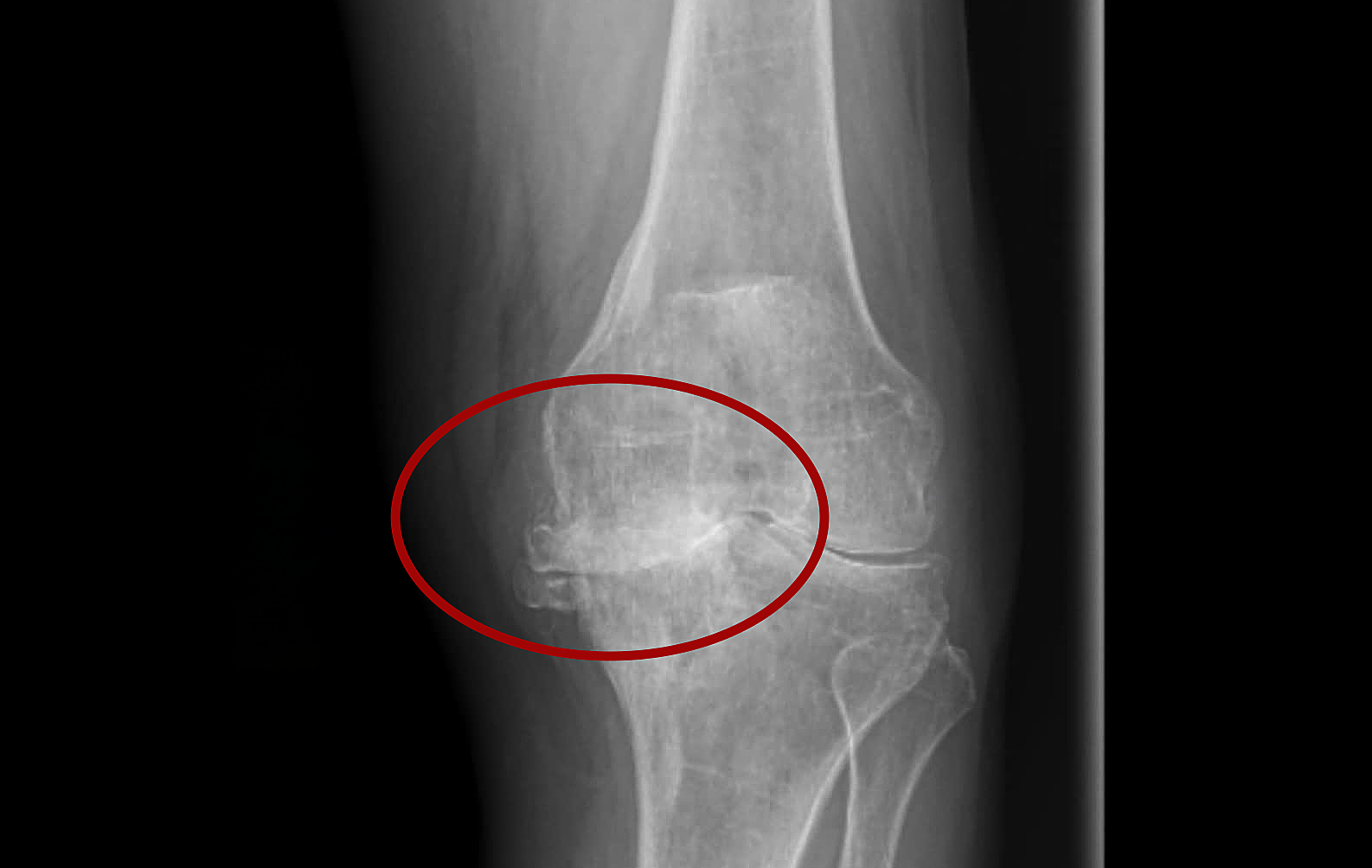
![]() |
Severe axial deviation caused a medial tibial plateau fracture. *Photo: Tam Anh General Hospital*
Surgeons performed artificial joint replacement through an approximately 8 cm skin incision, replacing damaged cartilage and bone with a fixed bearing artificial knee joint. The artificial cartilage was matched in both thickness and shape to restore the knee joint's function, stability, and natural range of motion, ensuring ligament balance during knee flexion and extension. The artificial joint has a lifespan of over 20 years.
On the first day after surgery, Ms. Thanh could flex, extend, and bear weight on her right leg for the first time in 5 years, with a noticeable straightening of her leg. She began walking exercises the next day, requiring active physical therapy and rehabilitation. Doctors predicted that after 1,5 months, the patient would be able to walk independently without assistive devices.
![]() |
Dr. Vu assessed the patient's recovery before discharge. *Photo: Tam Anh General Hospital*
Post-traumatic knee osteoarthritis (secondary osteoarthritis) is a condition where joint cartilage rapidly wears down and is damaged following injuries such as fractures, ligament tears, or meniscal tears. Dr. Vu noted that if not treated correctly, these conditions could cause severe pain, joint deformity, limited mobility, and even disability. In case of injury, patients should seek examination at specialized hospitals for timely treatment.
Phi Hong

